
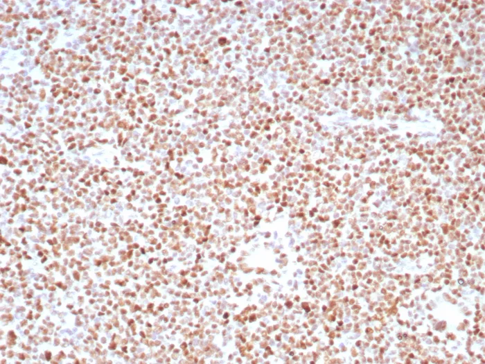
Formalin-fixed, paraffin-embedded human ovarian cancer stained with PMS2 Recombinant Rabbit Monoclonal Antibody (PMS2/8224R). Inset: PBS instead of primary antibody; secondary only negative control.
PMS2 is involved in DNA mismatch repair. It forms a heterodimer with MLH1 and this complex interacts with other complexes bound to mismatched bases. Defects in PMS2 are the cause of hereditary non-polyposis colorectal cancer type 4 (HNPCC4). Mutations in more than one gene locus can be involved alone or in combination in the production of the HNPCC phenotype (also called Lynch syndrome). Most families with clinically recognized HNPCC have mutations in either MLH1 or MSH2 genes. HNPCC is an autosomal, dominantly inherited disease associated with marked increase in cancer susceptibility. It is characterized by a familial predisposition to early onset colorectal carcinoma (CRC) and extra-colonic cancers of the gastrointestinal, urological and female reproductive tracts. HNPCC is reported to be the most common form of inherited colorectal cancer in the Western world, and accounts for 15% of all colon cancers. Defects in PMS2 are a cause of mismatch repair cancer syndrome (MMRCS); also known as Turcot syndrome or brain tumor-polyposis syndrome 1 (BTPS1). MMRCS is an autosomal dominant disorder characterized by malignant tumors of the brain associated with multiple colorectal adenomas. Skin features include sebaceous cysts, hyperpigmented and cafe au lait spots.
There are no reviews yet.