
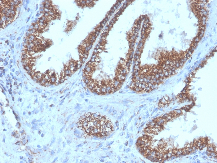
Formalin-fixed, paraffin-embedded human prostate carcinoma stained with PMEPA1 Recombinant Rabbit Monoclonal Antibody (PMEPA1/6421R).

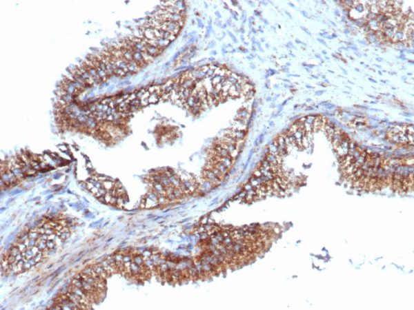
Formalin-fixed, paraffin-embedded human prostate carcinoma stained with PMEPA1 Recombinant Rabbit Monoclonal Antibody (PMEPA1/6421R).
PMEPA1 (prostate transmembrane protein, androgen induced 1 is a 287 amino acid single-pass membrane protein that contains WW-binding motifs and localizes to the cell membrane. Expressed at high levels in prostate, kidney and ovary, PMEPA1 interacts with NEDD4 and may play a role in regulating AR (androgen receptor) levels, specifically in prostate cells. Down regulation of PMEPA1 is observed in prostate tumors, suggesting that PMEPA1 may exhibit activity as a tumor suppressor. Overexpression of this protein may play a role in multiple types of cancer.
There are no reviews yet.