
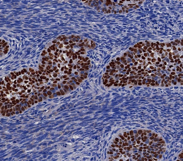
Formalin-fixed, paraffin-embedded human lung carcinoma stained with p40 Recombinant Rabbit Monoclonal Antibody (P40/8225R). HIER: Tris/EDTA, pH9.0, 45min. 2: HRP-polymer, 30min. DAB, 5min.
p63 consists of two major isoforms-TAp63 and delta-Np63. These isoforms differ in the structure of the N-terminal domains. The TAp63 isoform (identified by anti-p63 antibody) contains a transactivation-competent TA domain with homology to p53, which regulates the expression of the growth-inhibitory genes. In contrast, DNp63 isoform (identified by anti-p40 antibody) contains an alternative transcriptionally-inactive delta-N domain, which antagonizes the activity of TAp63 and p53. The p40 (clone P40/8225R) antibody recognizes exclusively delta-Np63 but not TAp63. p40 is a squamous cell carcinoma specific antibody. It reacts with the vast majority of cases of squamous cell carcinomas of various origins, but not with adenocarcinomas. It is particularly useful in differentiating lung squamous cell carcinoma from lung poorly differentiated adenocarcinoma. p40 antibody can also be used as an alternative basal cell/myoepithelial cell marker, which has similar sensitivity and specificity as that of p63 antibody. Therefore, p40 antibody may also be used as an alternative immunohistochemical marker for determining prostate adenocarcinoma vs. benign prostate glands and for determining breast intraductal carcinoma vs. invasive breast ductal carcinoma.
There are no reviews yet.