Recombinant p63 (Squamous, Basal & Myoepithelial Cell Marker) Antibody [rP40/8765]

In Stock
Catalog Number Formulation Size Price
8626-MSM26-P0
Purified Ab with BSA and Azide at 200ug/ml
20ug
$259.00
8626-MSM26-P1
Purified Ab with BSA and Azide at 200ug/ml
100ug
$559.00
8626-MSM26-P1ABX
Purified Ab WITHOUT BSA and Azide at 1.0mg/ml
100ug
$559.00
Flat Rate Domestic: $95 | Orders outside the US - Contact Us for Order Information | Ships next business day

Applications & Dilutions

Applications Tested Dillution Protocol Note
Immunohistochemistry (IHC)
1-2ug/ml
30 min at RT. Staining of formalin-fixed tissues requires heating tissue sections in 10mM Tris with 1mM EDTA, pH 9.0, for 45 min at 95°C followed by cooling at RT for 20 minutes

Summary

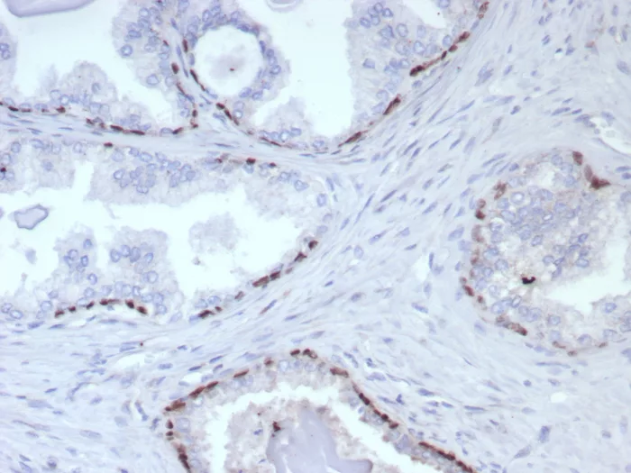
p63 is a homolog of the tumor suppressor p53. It is identified in basal cells in the epithelial layers of a variety of tissues, including epidermis, cervix, urothelium, breast and prostate. p63 was detected in nuclei of the basal epithelium in normal prostate glands; however, it was not expressed in malignant tumors of the prostate. As a result, p63 has been reported as a useful marker for differentiating benign from malignant lesions in the prostate, particularly when used in combination with markers of high molecular weight cytokeratins and the prostate-specific marker AMACR (P504S). p63 has also been shown to be a sensitive marker for lung squamous cell carcinomas (SqCC), with a sensitivity of ~90%. Specificity for lung SqCC, vs. lung adenocarcinoma (LADC), is approximately 80%. In breast tissue, p63 has been identified in myoepithelial cells of normal ducts.

Product Properties & Targets

Host
Mouse
Applications
Species Reactivity
Isotype / Light Chain
IgG2a / Kappa
Cellular Localization
Nucleus.
Gene Name
Positive Control
Human prostate|lung or bladder squamous cell carcinoma tissue.
Immunogen
Recombinant fragment (around aa1-200) of human TP63 protein (exact sequence is proprietary)
Alternate Names
Tumor protein 63, Chronic ulcerative stomatitis protein, Keratinocyte transcription factor KET, Transformation-related protein 63, Tumor protein p73-like, p40, p51, Amplified in squamous cell carcinoma (AIS); Chronic ulcerative stomatitis protein (CUSP); EEC3; Keratinocyte transcription factor KET; LMS; NBP; p40; P51/P63; p53 like transcription factor; p53-related protein p63; RHS; SHFM4; TAp63alpha; TP53CP; TP53L; TP63; TP73; TP73L; Transformation-related protein 63; Trp53rp1; Trp6;3

Database Links

Entrez Gene ID
SwissProt

Additional Information

Clone
rP40/8765
Chromosome Location
3q28
Mol. Weight of Antigen
63kDa

Functions

  • Acts as a sequence specific DNA binding transcriptional activator or repressor. The isoforms contain a varying set of transactivation and auto-regulating transactivation inhibiting domains thus showing an isoform specific activity. Isoform 2 activates RIPK4 transcription. May be required in conjunction with TP73/p73 for initiation of p53/TP53 dependent apoptosis in response to genotoxic insults and the presence of activated oncogenes. Involved in Notch signaling by probably inducing JAG1 and JAG2. Plays a role in the regulation of epithelial morphogenesis. The ratio of DeltaN-type and TA*-type isoforms may govern the maintenance of epithelial stem cell compartments and regulate the initiation of epithelial stratification from the undifferentiated embryonal ectoderm. Required for limb formation from the apical ectodermal ridge. Activates transcription of the p21 promoter.

Key References

  • Signoretti S, et al. p63 is a prostate basal cell marker and is required for prostate development. Am J Pathol. 2000; 157(6):1769-75.

Storage & Stability

Antibody with azide - store at 2 to 8°C. Antibody without azide - store at -20 to -80°C.Antibody is stable for 24 months. Non-hazardous. No MSDS required.

Limitations

This antibody is available for research use only and is not approved for use in diagnosis.

Supplied as

200ug/ml of Ab purified by Protein A Column. Prepared in 10mM PBS with 0.05% BSA & 0.05% azide. Also available WITHOUT BSA & azide at 1.0mg/ml.

Warranty

There are no warranties, expressed or implied, which extend beyond this description. Company is not liable for any personal injury or economic loss resulting from this product.

Reviews

There are no reviews yet.

Be the first to review “Recombinant p63 (Squamous, Basal & Myoepithelial Cell Marker) Antibody”

Your email address will not be published. Required fields are marked *

PARTNERSHIP OPPORTUNITIES

NeoBiotechnologies holds Exclusive rights to 10,000 recombinant and hybridoma antibody products, available for Licensing or Collaboration.

LETS TALK