
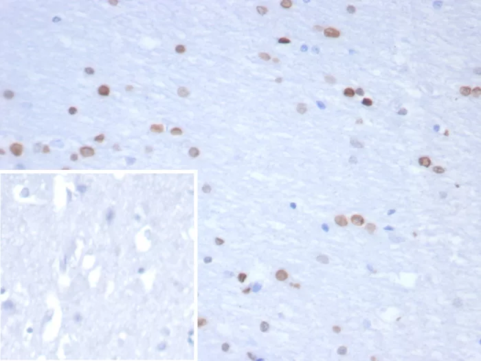
Formalin-fixed, paraffin-embedded human brain stained with NEUROG3 Mouse Monoclonal Antibody (NGN3/1809) Inset: PBS instead of primary antibody; secondary only negative control.
This antigen is a transcription factor that interacts with NKX2-2 to regulation transcription of NEUROD1. The neurogenin family of proteins belongs to the basic helix-loop-helix (bHLH) superfamily and consists of Neurogenin 1, Neurogenin 2 and Neurogenin 3 (also designated ngn3). bHLH members are transcriptional regulators that determine cell fate. Neurogenin 3 is expressed in discrete regions of developing neurons and in the embryonic pancreatic islets of Langerhans. HNF-6 (hepatocyte nuclear factor 6) acts as a positive regulator of Neurogenin 3 by binding to and stimulating the neurogenin gene promoter. Neurogenin 3 is involved in the initial differentiation of the four islets cell types, while a network of transcription factors, including Hlxb9, Isl1, NeuroD, Nkx-2.2, Nkx-6.4, Pax-4, Pax-6, PDX-1 and Mash1, are required for final differentiation. Neurogenin 3 acts upstream of NeuroD in a bHLH cascade. Neurogenin 3 activates the expression of NeuroD at the onset of islet cell differentiation through box sequences E1 and E3 in the NeuroD promoter.
There are no reviews yet.