
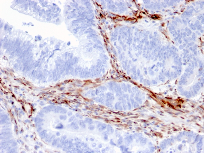
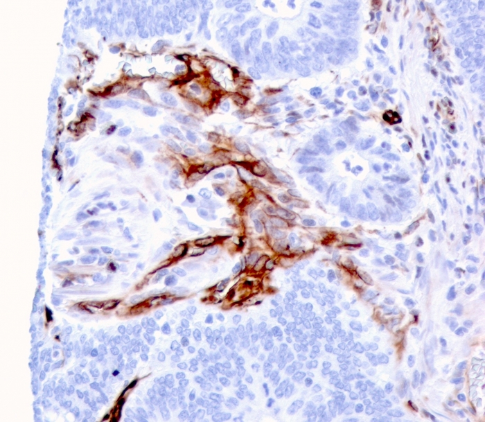
Formalin-fixed, paraffin-embedded human Colon Carcinoma stained with Nestin Mouse Monoclonal Antibody (NES/2911).

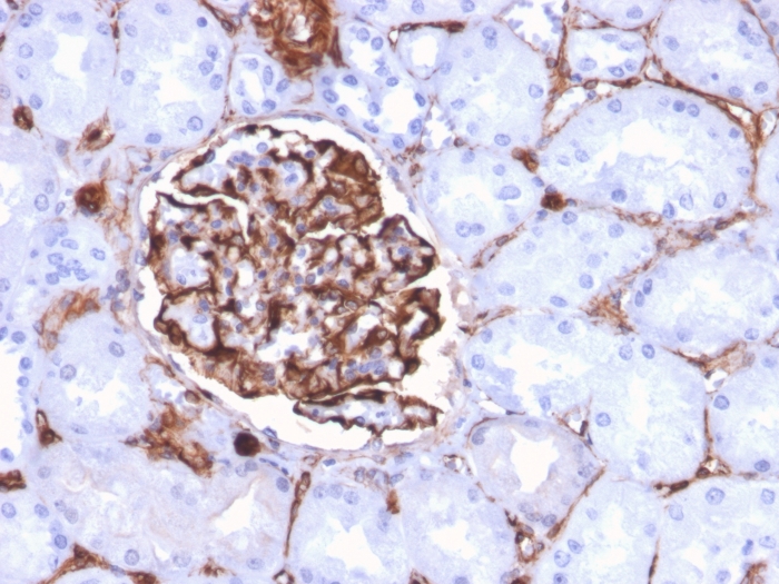
Formalin-fixed, paraffin-embedded human Kidney stained with Nestin Mouse Monoclonal Antibody (NES/2911).

Formalin-fixed, paraffin-embedded human Kidney stained with Nestin Mouse Monoclonal Antibody (NES/2911).
Nestin is a major intermediate filament (IF) protein of embryonic central nervous system progenitor cells. It is also a component of the dynamic IF network during muscle development, where it polymerizes with Desmin and Vimentin. Nestin co-assembles with Vimentin or -internexin and forms heterodimer coiled-coil molecules which then further assemble into 10 nml IFs. Deletion of the IF consensus rod domain in nestin alters nestin localization in CNS precursor cells and radial glial cells in vivo. Nestin is a marker for neuroepithelial stem cells, glioma cells and tumor endothelial cells during rapid growth. During axon elongation of differentiation neurons, nestin localizes to the growth cones and may play a role in growth cone guidance. In the rat adrenal gland, nestin is expressed by the zona fasciculata and the zona reticularis. Nestin is also expressed by dermatomal cells and by myoblasts during the earliest stages of myogenesis.
There are no reviews yet.