Homeobox protein NANOG (Cancer Stem Cell Marker) Antibody [NANOG/9704]

In Stock
Catalog Number Formulation Size Price
79923-MSM3-P0
Purified Ab with BSA and Azide at 200ug/ml
20ug
$259.00
79923-MSM3-P1
Purified Ab with BSA and Azide at 200ug/ml
100ug
$559.00
79923-MSM3-P1ABX
Purified Ab WITHOUT BSA and Azide at 1.0mg/ml
100ug
$559.00
Flat Rate Domestic: $95 | Orders outside the US - Contact Us for Order Information | Ships next business day

Applications & Dilutions

Applications Tested Dillution Protocol Note
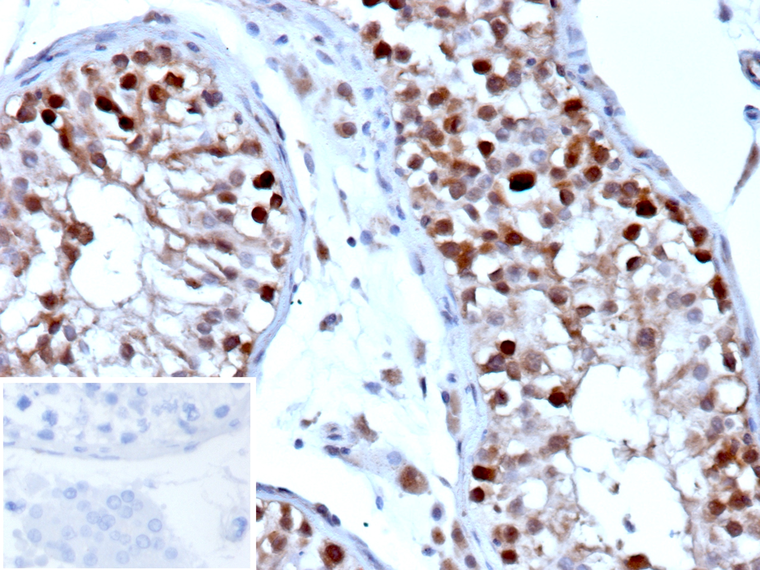
Immunohistochemistry (IHC)
1-2ug/ml
30 min at RT. Staining of formalin-fixed tissues requires heating tissue sections in 10mM Tris with 1mM EDTA, pH 9.0, for 45 min at 95°C followed by cooling at RT for 20 minutes

Summary

The homeobox protein Nanog is a transcription factor crucial for maintaining the pluripotency of embryonic stem cells (ESCs) by inhibiting cell differentiation factors. In humans, the NANOG gene encodes this protein. Nanog operates alongside other factors such as Oct-4 and SOX2 to define ESC identity. It is also highly expressed in cancer stem cells, suggesting a potential role as an oncogene in promoting cancer development. Elevated levels of Nanog are linked to poor prognosis in cancer patients.

Nanog shows strong and specific expression in carcinoma in situ (CIS), embryonal carcinomas, and seminomas but are absent in teratomas and yolk sac tumors. Research indicates that human embryonic stem cell-related genes, including OCT4, NANOG, STELLAR, and GDF3, are expressed in seminomas and breast carcinomas. Nanog positivity is notably associated with high-grade ovarian serous carcinoma but is not observed in benign, borderline, or low-grade serous lesions. One study highlights the cellular shuttling of Nanog and its increased stromal presence during cervical cancer progression. Furthermore, Nanog overexpression has been linked to factors such as tumor differentiation, lymph node metastasis, and tumor size, with studies suggesting its predictive value for reduced overall survival (OS) and disease-free survival (DFS) in lung cancer.

Product Properties & Targets

Antibody Type
Host
Mouse
Applications
Species Reactivity
Isotype / Light Chain
IgG2b / Lambda
Cellular Localization
Nucleus
Gene Name
Positive Control
Human testicular carcinoma.
Immunogen
Recombinant fragment (around aa100-250) of human NANOG protein (exact sequence is proprietary)
Alternate Names
homeobox protein NANOG, Embryonic stem cell specific homeobox protein (Nanog) antibody; ENK antibody FLJ12581 antibody; hNanog antibody; Homeobox protein NANOG antibody; Homeobox transcription factor Nanog antibody; homeobox transcription factor Nanog-delta 48 antibody NANOG antibody; Nanog homeobox antibody NANOG_HUMAN antibody, homeobox transcription factor Nanog; homeobox transcription factor Nanog-delta 48

Database Links

Entrez Gene ID
SwissProt

Additional Information

Clone
NANOG/9704
Chromosome Location
12p13.31
Mol. Weight of Antigen
40kDa

Functions

  • Transcription regulator involved in inner cell mass and embryonic stem (ES) cells proliferation and self-renewal. Imposes pluripotency on ES cells and prevents their differentiation towards extraembryonic endoderm and trophectoderm lineages. Blocks bone morphogenetic protein-induced mesoderm differentiation of ES cells by physically interacting with SMAD1 and interfering with the recruitment of coactivators to the active SMAD transcriptional complexes (By similarity). Acts as a transcriptional activator or repressor (By similarity). Binds optimally to the DNA consensus sequence 5'-TAAT[GT][GT]-3' or 5'-[CG][GA][CG]C[GC]ATTAN[GC]-3' (By similarity). When overexpressed, promotes cells to enter into S phase and proliferation.

Key References

  • Iv Santaliz-Ruiz, Luis E et al. “Emerging role of nanog in tumorigenesis and cancer stem cells.” International journal of cancer vol. 135,12 (2014): 2741-8. doi:10.1002/ijc.28690
  • Gawlik-Rzemieniewska, Natalia, and Ilona Bednarek. “The role of NANOG transcriptional factor in the development of malignant phenotype of cancer cells.” Cancer biology & therapy vol. 17,1 (2016): 1-10. doi:10.1080/15384047.2015.1121348
  • Vasefifar, Parisa et al. “Nanog, as a key cancer stem cell marker in tumor progression.” Gene vol. 827 (2022): 146448. doi:10.1016/j.gene.2022.146448

Storage & Stability

Antibody with azide - store at 2 to 8°C. Antibody without azide - store at -20 to -80°C.Antibody is stable for 24 months. Non-hazardous. No MSDS required.

Limitations

This antibody is available for research use only and is not approved for use in diagnosis.

Supplied as

200ug/ml of Ab purified from Bioreactor Concentrate by Protein A/G. Prepared in 10mM PBS with 0.05% BSA & 0.05% azide. Also available WITHOUT BSA & azide at 1.0mg/ml.

Warranty

There are no warranties, expressed or implied, which extend beyond this description. Company is not liable for any personal injury or economic loss resulting from this product.

Reviews

There are no reviews yet.

Be the first to review “Homeobox protein NANOG (Cancer Stem Cell Marker) Antibody”

Your email address will not be published. Required fields are marked *

PARTNERSHIP OPPORTUNITIES

NeoBiotechnologies holds Exclusive rights to 10,000 recombinant and hybridoma antibody products, available for Licensing or Collaboration.

LETS TALK