
SDS-PAGE Analysis of Purified MZF1 Mouse Monoclonal Antibody (PCRP-MZF1-1E8). Confirmation of Purity and Integrity of Antibody.

Flow cytometric analysis of PFA-fixed HeLa cells. MZF1 Mouse Monoclonal Antibody (PCRP-MZF1-1E8) followed by goat anti-mouse IgG-CF488 (blue), unstained cells (red).

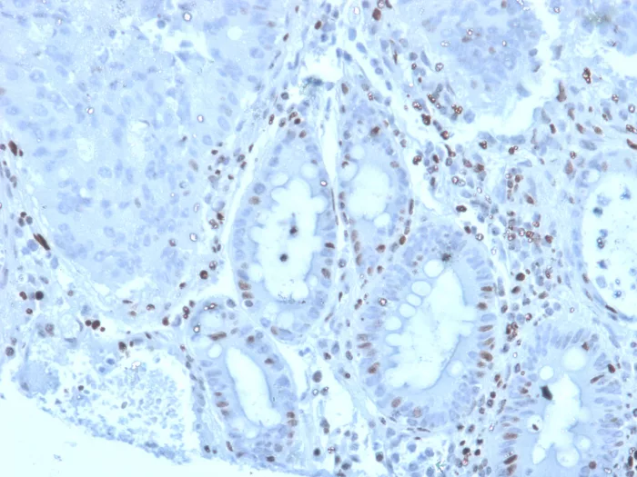
Formalin-fixed, paraffin-embedded human colon carcinoma stained with MZF1 Mouse Monoclonal Antibody (PCRP-MZF1-1E8). HIER: Tris/EDTA, pH9.0, 45min. 2°C: HRP-polymer, 30min. DAB, 5min.

Analysis of Protein Array containing more than 19,000 full-length human proteins using MZF1 Mouse Monoclonal Antibody (PCRP-MZF1-1E8). Z- and S- Score: The Z-score represents the strength of a signal that a monoclonal antibody (MAb) (in combination with a fluorescently-tagged anti-IgG secondary antibody) produces when binding to a particular protein on the HuProtTM array. Z-scores are described in units of standard deviations (SD's) above the mean value of all signals generated on that array. If targets on HuProtTM are arranged in descending order of the Z-score, the S-score is the difference (also in units of SD's) between the Z-score. S-score therefore represents the relative target specificity of a MAb to its intended target. A MAb is considered to specific to its intended target, if the MAb has an S-score of at least 2.5. For example, if a MAb binds to protein X with a Z-score of 43 and to protein Y with a Z-score of 14, then the S-score for the binding of that MAb to protein X is equal to 29.
Zinc finger genes that encode metal-binding proteins are transcriptional regulators of other genes. Myeloid zinc finger 1 (MZF-1), also designated zinc finger protein 42, and transcription factor ZBP-89, also designated zinc finger protein 148, belong to the Kruppel C2H2-type zinc-finger protein family. The gene encoding for the MZF-1 protein maps to chromosome 19q13.43 while the gene encoding for ZBP-89 is localized on chromosome 3q21. These proteins are nuclear proteins involved in the regulation of transcriptional events. MZF-1 regulates transcription during hemopoietic development and plays a role in myeloid cell differentiation. MZF-1 regulates the CD34 promoter in a tissue-specific manner. MZF-1 and FHL3 can form a complex of high molecular mass with other proteins in the nucleus. It is induced by retinoic acid and is primarily expressed in differentiating myeloid cells.
There are no reviews yet.