Recombinant MUC1 / CA15-3 / EMA / CD227 (Epithelial Marker) Antibody [MUC1/2278R]

In Stock
Catalog Number Formulation Size Price
4582-RBM20-P0
Purified Ab with BSA and Azide at 200ug/ml
20ug
$259.00
4582-RBM20-P1
Purified Ab with BSA and Azide at 200ug/ml
100ug
$559.00
4582-RBM20-P1ABX
Purified Ab WITHOUT BSA and Azide at 1.0mg/ml
100ug
$559.00
Flat Rate Domestic: $95 | Orders outside the US - Contact Us for Order Information | Ships next business day

Applications & Dilutions

Applications Tested Dillution Protocol Note
Immunohistochemistry (IHC)
1-2ug/ml
30 min at RT. Staining of formalin-fixed tissues requires heating tissue sections in 10mM Tris with 1mM EDTA, pH 9.0, for 45 min at 95°C followed by cooling at RT for 20 minutes

Summary

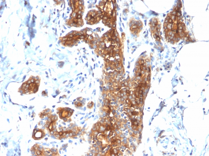
This MAb reacts with MUC1, a large transmembrane glycoprotein expressed on the ductal surface of normal glandular epithelia. It is used as tracer agent in CA15.3 assays. The extracellular domain of MUC1 largely consists of a highly conserved, O-glycosylated 20 amino acids tandem repeat which can occur 30-100 times per molecule depending on the length of the allele involved. In the vast majority of human carcinomas this protein is up-regulated and poorly glycosylated and appears on the cell surface in a non-polarized fashion. The dominant epitope of this MAb involves both amino acids as well as sugar moieties. Its epitope is destroyed by desialylation i.e. treatment with Neuraminidase.

Product Properties & Targets

Host
Rabbit
Applications
Species Reactivity
Isotype / Light Chain
IgG / Kappa
Cellular Localization
Apical cell membrane, Cell membrane, Cytoplasm, Nucleus, Secreted
Gene Name
Positive Control
Colon, endometrial carcinoma., MCF-7 or MDA-231 cells. Breast, Ovarian
Immunogen
Recombinant full-length human MUC1 protein
Alternate Names
Mucin-1, Breast carcinoma-associated antigen DF3, Cancer antigen 15-3, Carcinoma-associated mucin, Episialin, H23AG, Krebs von den Lungen-6, PEMT, Peanut-reactive urinary mucin, Polymorphic epithelial mucin, Tumor-associated epithelial membrane antigen, Tumor-associated mucin, Breast carcinoma-associated antigen DF3, CA15-3, Carcinoma-associated mucin Episialin, Epithelial Membrane Antigen, H23AG, KL-6, MAM6, MUC-1, MUC-1/SEC, MUC-1/X, MUC1-alpha, MUC1-beta, MUC1-CT, MUC1-NT, MUC1/ZD, Mucin 1 cell surface associated, Mucin-1 subunit beta, Peanut-reactive urinary mucin, PEM, PEMT, Polymorphic epithelial mucin, PUM, Tumor-associated epithelial membrane antigen

Database Links

Entrez Gene ID
SwissProt

Additional Information

Clone
MUC1/2278R
Chromosome Location
1q22
Mol. Weight of Antigen
265-400kDa

Functions

  • The alpha subunit has cell adhesive properties. Can act both as an adhesion and an anti-adhesion protein. May provide a protective layer on epithelial cells against bacterial and enzyme attack.
  • The beta subunit contains a C-terminal domain which is involved in cell signaling, through phosphorylations and protein-protein interactions. Modulates signaling in ERK, SRC and NF-kappa-B pathways. In activated T-cells, influences directly or indirectly the Ras/MAPK pathway. Promotes tumor progression. Regulates TP53-mediated transcription and determines cell fate in the genotoxic stress response. Binds, together with KLF4, the PE21 promoter element of TP53 and represses TP53 activity.

Key References

  • Hilkens et al. Int J Cancer. 1984 Aug 15;34(2):197-206.

PubMed Links

Storage & Stability

Antibody with azide - store at 2 to 8°C. Antibody without azide - store at -20 to -80°C. Antibody is stable for 24 months. Non-hazardous. No MSDS required.

Limitations

This antibody is available for research use only and is not approved for use in diagnosis.

Supplied as

200ug/ml of recombinant MAb Purified by Protein A/G. Prepared in 10mM PBS with 0.05% BSA & 0.05% azide. Also available WITHOUT BSA & azide at 1.0mg/ml.

Warranty

There are no warranties, expressed or implied, which extend beyond this description. Company is not liable for any personal injury or economic loss resulting from this product.

Reviews

There are no reviews yet.

Be the first to review “Recombinant MUC1 / CA15-3 / EMA / CD227 (Epithelial Marker) Antibody”

Your email address will not be published. Required fields are marked *

PARTNERSHIP OPPORTUNITIES

NeoBiotechnologies holds Exclusive rights to 10,000 recombinant and hybridoma antibody products, available for Licensing or Collaboration.

LETS TALK