
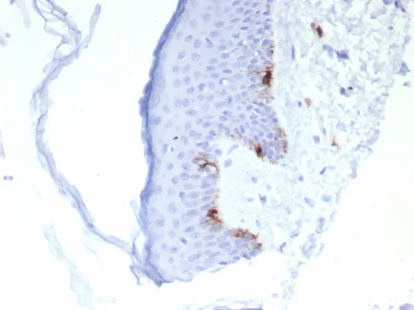
Formalin-fixed, paraffin-embedded human skin stained with MART-1 Recombinant Mouse Monoclonal Antibody (rMLANA/8134). Inset: PBS instead of primary antibody; secondary only negative control.

Formalin-fixed, paraffin-embedded human skin stained with MART-1 Recombinant Mouse Monoclonal Antibody (rMLANA/8134). HIER: Tris/EDTA, pH9.0, 45min. 2°C: HRP-polymer, 30min. DAB, 5min.
This antibody recognizes a protein doublet of 20-22kDa, identified as MART-1 (Melanoma Antigen Recognized by T cells 1) or Melan-A. MART-1 is a newly identified melanocyte differentiation antigen recognized by autologous cytotoxic T lymphocytes. Seven other melanoma associated antigens recognized by autologous cytotoxic T cells include MAGE-1, MAGE-3, tyrosinase, gp100, gp75, BAGE-1, and GAGE-1. Subcellular fractionation shows that MART-1 is present in melanosomes and endoplasmic reticulum. This MAb labels melanomas and other tumors showing melanocytic differentiation. It is also a useful positive-marker for angiomyolipomas. It does not stain tumor cells of epithelial, lymphoid, glial, or mesenchymal origin.
There are no reviews yet.