
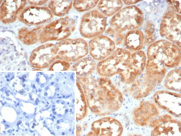
Formalin-fixed, paraffin-embedded human kidney stained with LAMP5 Mouse Monoclonal Antibody (LAMP5/7642). Inset: PBS instead of primary antibody; secondary only negative control.
Lysosome-associated membrane proteins (LAMP) are glycosylated type I membrane proteins that play a role in the biogenesis of the pigment melanin. LAMP-5, also known as C20orf103, is a 280 amino acid protein that belongs to the LAMP family and is mainly found in cytoplasmic vesicles of the neuronal cell body. LAMP-5 is up-regulated upon CpG activation and down-regulated up Toll-like receptor (TLR) ligands.
There are no reviews yet.