
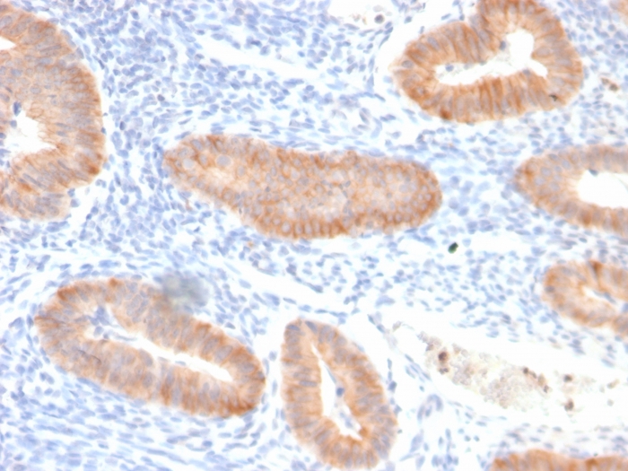
Formalin-fixed, paraffin-embedded human endo-cervical carcinoma stained with Interleukin 10 Recombinant Rabbit Monoclonal Antibody (IL10/2651R).

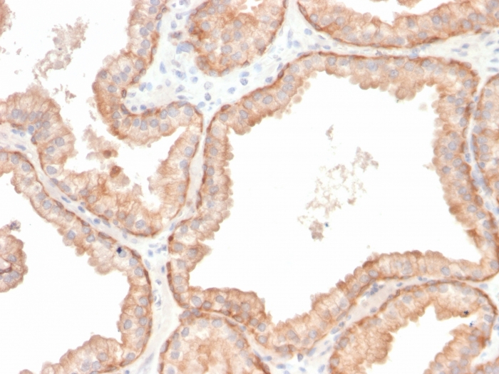
Formalin-fixed, paraffin-embedded human prostate carcinoma stained with Interleukin 10 Recombinant Rabbit Monoclonal Antibody (IL10/2651R).
Interleukin 10 (IL10) is a cytokine produced primarily by monocytes and to a lesser extent by lymphocytes. This cytokine has pleiotropic effects in immuno-regulation and inflammation. It down-regulates the expression of Th1 cytokines, MHC class II antigens, and costimulatory molecules on macrophages. It also enhances B cell survival, proliferation, and antibody production. This cytokine can block NF-kappa B activity, and is involved in the regulation of the JAK-STAT signaling pathway. Knockout studies in mice suggested the function of this cytokine as an essential immuno-regulator in the intestinal tract. Mutations in this gene are associated with an increased susceptibility to HIV-1 infection and rheumatoid arthritis.
There are no reviews yet.