
Flow cytometric analysis of PFA-fixed HeLa cells. HOXB2 Mouse Monoclonal Antibody (PCRP-HOXB2-1F2) followed by goat anti-mouse IgG-CF488 (blue); isotype control (red).

Immunofluorescence Analysis of PFA-fixed HeLa cells stained using HOXB2 Mouse Monoclonal Antibody (PCRP-HOXB2-1F2). followed by goat anti-mouse IgG-CF488 (green). CF640A phalloidin (red).

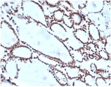
IHC analysis of formalin-fixed, paraffin-embedded human thyroid. Nuclear staining using PCRP-HOXB2-1F2 at 2ug/ml in PBS for 30min RT. HIER: Tris/EDTA, pH9.0, 45min. 2 °: HRP-polymer, 30min. DAB, 5min.

IHC analysis of formalin-fixed, paraffin-embedded human breast carcinoma. Nuclear staining using PCRP-HOXB2-1F2 at 2ug/ml in PBS for 30min RT. HIER: Tris/EDTA, pH9.0, 45min. 2 °: HRP-polymer, 30min. DAB, 5min.

Analysis of Protein Array containing more than 19,000 full-length human proteins using HOXB2-Monospecific Mouse Monoclonal Antibody (PCRP-HOXB2-1F2). Z- and S- Score: The Z-score represents the strength of a signal that a monoclonal antibody (MAb) (in combination with a fluorescently-tagged anti-IgG secondary antibody) produces when binding to a particular protein on the HuProtTM array. Z-scores are described in units of standard deviations (SD's) above the mean value of all signals generated on that array. If targets on HuProtTM are arranged in descending order of the Z-score, the S-score is the difference (also in units of SD's) between the Z-score. S-score therefore represents the relative target specificity of a MAb to its intended target. A MAb is considered to specific to its intended target, if the MAb has an S-score of at least 2.5. For example, if a MAb binds to protein X with a Z-score of 43 and to protein Y with a Z-score of 14, then the S-score for the binding of that MAb to protein X is equal to 29.
Hox genes play a fundamental role in the development of the vertebrate central nervous system, heart, axial skeleton, limbs, gut, urogenital tract and external genitalia. The homeobox gene HoxB1 is critical to hindbrain development and has phenotypic features frequently observed in autism. Analysis of expression and targeted disruption of HoxB1 demonstrates that it is also essential for patterning progenitor cells along the entire DV axis of rhombomere 4 (r4). HoxB1 maintains this function by acting very early during hindbrain neurogenesis to specify effectors of the Sonic hedgehog and Mash1 signaling pathways. HoxB2 is a homeodomain protein important in neural development that is also expressed during erythropoiesis, hindbrain development and normal human adult lung development. HoxB2 may modulate the amount of gamma-globin mRNA expressed during development and differentiation. In addition, HoxB2 plays an important role in the patterning of hindbrain and pharyngeal arches in the zebrafish.
There are no reviews yet.