Recombinant HLA-DP (MHC II) Antibody [HLA-DPB1/2862R]

In Stock
Catalog Number Formulation Size Price
3115-RBM4-P0
Purified Ab with BSA and Azide at 200ug/ml
20ug
$259.00
3115-RBM4-P1
Purified Ab with BSA and Azide at 200ug/ml
100ug
$559.00
3115-RBM4-P1ABX
Purified Ab WITHOUT BSA and Azide at 1.0mg/ml
100ug
$559.00
Flat Rate Domestic: $95 | Orders outside the US - Contact Us for Order Information | Ships next business day

Applications & Dilutions

Applications Tested Dillution Protocol Note
Flow Cytometry (Flow)
1-2ug/million cells
Immunofluorescence (IF)
1-3ug/ml

Summary

Recognizes a non-polymorphic determinant of DP-MHC class II. MHC class II antigens are transmembrane glycoproteins of non-covalently linked alpha (33-35kDa) and beta (27-30kDa) chains. It reportedly reacts with B- non-T, non-B cell lines but not with T- and myeloid cell lines and leukemias. Differential expression of MHC class II antigens on fetal and adult lymphocytes, malignant B cells appears to reflect the stage of cell differentiation which may be useful in the study of lymphoproliferative disorders.

Product Properties & Targets

Host
Rabbit
Species Reactivity
Isotype / Light Chain
IgG / Kappa
Cellular Localization
Cell membrane, Endoplasmic reticulum membrane, Endosome membrane, Golgi apparatus, Lysosome membrane, trans-Golgi network membrane
Gene Name
Positive Control
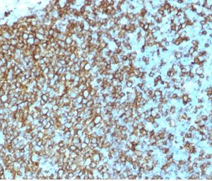
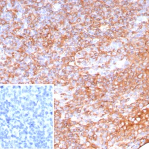
Raji cells. Tonsil or lymph node.
Immunogen
Non-T, non-B human acute lymphoblastic leukemia REH6 cell line
Alternate Names
HLA class II histocompatibility antigen, DP beta 1 chain, HLA class II histocompatibility antigen, DP(W4) beta chain, MHC class II antigen DPB1, HLA class II histocompatibility antigen DP alpha 1 chain; HLA DP1A; HLA SB alpha chain; HLADP; HLADPA1; HLASB; HLASB histocompatibility type; Human MHC class II HLA SB alpha; Major histocompatibility complex class II DP alpha 1; MHC class II DP3 alpha; MHC class II DPA1; PLT1; Primed lymphocyte test 1

Database Links

Entrez Gene ID
SwissProt

Additional Information

Clone
HLA-DPB1/2862R
Chromosome Location
6p21.3
Mol. Weight of Antigen
33-35kDa

Functions

  • Binds peptides derived from antigens that access the endocytic route of antigen presenting cells (APC) and presents them on the cell surface for recognition by the CD4 T-cells. The peptide binding cleft accommodates peptides of 10-30 residues. The peptides presented by MHC class II molecules are generated mostly by degradation of proteins that access the endocytic route, where they are processed by lysosomal proteases and other hydrolases. Exogenous antigens that have been endocytosed by the APC are thus readily available for presentation via MHC II molecules, and for this reason this antigen presentation pathway is usually referred to as exogenous. As membrane proteins on their way to degradation in lysosomes as part of their normal turn-over are also contained in the endosomal/lysosomal compartments, exogenous antigens must compete with those derived from endogenous components. Autophagy is also a source of endogenous peptides, autophagosomes constitutively fuse with MHC class II loading compartments. In addition to APCs, other cells of the gastrointestinal tract, such as epithelial cells, express MHC class II molecules and CD74 and act as APCs, which is an unusual trait of the GI tract. To produce a MHC class II molecule that presents an antigen, three MHC class II molecules (heterodimers of an alpha and a beta chain) associate with a CD74 trimer in the ER to form a heterononamer. Soon after the entry of this complex into the endosomal/lysosomal system where antigen processing occurs, CD74 undergoes a sequential degradation by various proteases, including CTSS and CTSL, leaving a small fragment termed CLIP (class-II-associated invariant chain peptide). The removal of CLIP is facilitated by HLA-DM via direct binding to the alpha-beta-CLIP complex so that CLIP is released. HLA-DM stabilizes MHC class II molecules until primary high affinity antigenic peptides are bound. The MHC II molecule bound to a peptide is then transported to the cell membrane surface. In B-cells, the interaction between HLA-DM and MHC class II molecules is regulated by HLA-DO. Primary dendritic cells (DCs) also to express HLA-DO. Lysosomal microenvironment has been implicated in the regulation of antigen loading into MHC II molecules, increased acidification produces increased proteolysis and efficient peptide loading.

Key References

  • Babusikova O., et al. Neoplasma, 1985, 32(6):657-62.
  • Polakova K., et al. Neoplasma, 1985, 32(6):641-8.

PubMed Links

Storage & Stability

Antibody with azide - store at 2 to 8°C. Antibody without azide - store at -20 to -80°C. Antibody is stable for 24 months. Non-hazardous. No MSDS required.

Limitations

This antibody is available for research use only and is not approved for use in diagnosis.

Supplied as

200ug/ml of Ab Purified from Bioreactor Concentrate by Protein A/G. Prepared in 10mM PBS with 0.05% BSA & 0.05% azide. Also available WITHOUT BSA & azide at 1.0mg/ml.

Warranty

There are no warranties, expressed or implied, which extend beyond this description. Company is not liable for any personal injury or economic loss resulting from this product.

Reviews

There are no reviews yet.

Be the first to review “Recombinant HLA-DP (MHC II) Antibody”

Your email address will not be published. Required fields are marked *

PARTNERSHIP OPPORTUNITIES

NeoBiotechnologies holds Exclusive rights to 10,000 recombinant and hybridoma antibody products, available for Licensing or Collaboration.

LETS TALK