
Formalin-fixed, paraffin-embedded human tonsil stained with HLA 1 ABC Recombinant Rabbit Monoclonal Antibody (MHC-I/8147R). HIER: Tris/EDTA, pH9.0, 45min. 2: HRP-polymer, 30min. DAB, 5min.

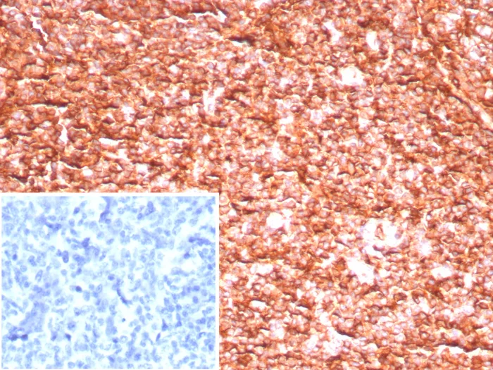
Formalin-fixed, paraffin-embedded human tonsil stained with HLA 1 ABC Recombinant Rabbit Monoclonal Antibody (MHC-I/8147R). Inset: PBS instead of primary antibody; secondary only negative control.

Western Blot Analysis of HOP-92, Tonsil, Lung and Hep G2 lysates using HLA Class 1 ABC Recombinant Rabbit Monoclonal Antibody (MHC-I/8147R).

Western Blot Analysis of Human Spleen, Mouse Spleen, Rat Spleen, Hamster Spleen, Guinea pig Spleen, Human Lung, Mouse Lung, Rat Lung, Hamster Lung and Guinea pig Lung tissue lysates using HLA Class 1 ABC Recombinant Rabbit Monoclonal Antibody (MHC-I/8147R).
Major Histocompatibility Complex (MHC) is a genetic region on chromosomes composed of tightly linked highly polymorphic gene loci that encode cell surface specific proteins, depending on the structure and function of genes and coding products. We divide MHC into class � �, class � � and class � � gene regions. Endogenous antigen presentation is presented by the major histocompatibility complex � � (MHC � �) pathway. Intracytoplasmic proteins are decomposed into peptides during protease degradation, which in turn are delivered by HSP41 and HSP90 proteins to TAP on the membrane. MHC � � is widely distributed on the surface of almost all nucleated cells, including spleen, lymph nodes and thymus lymphocytes in normal tissues. It is also expressed in skin, lung, kidney, liver and heart tissues. It is also widely expressed in tumor tissues. MHC � �molecular typing is related to the matching of organ transplantation and bone marrow transplantation, as well as a variety of autoimmune diseases.
There are no reviews yet.