Recombinant GP2 (Glycoprotein 2) / ZAP75 Antibody [GP2/8618R]

In Stock
Catalog Number Formulation Size Price
2813-RBM14-P0
Purified Ab with BSA and Azide at 200ug/ml
20ug
$259.00
2813-RBM14-P1
Purified Ab with BSA and Azide at 200ug/ml
100ug
$559.00
2813-RBM14-P1ABX
Purified Ab WITHOUT BSA and Azide at 1.0mg/ml
100ug
$559.00
Flat Rate Domestic: $95 | Orders outside the US - Contact Us for Order Information | Ships next business day

Applications & Dilutions

Applications Tested Dillution Protocol Note
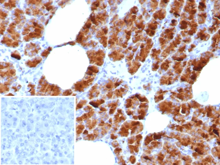
Immunohistochemistry (IHC)
1-2ug/ml
30 min at RT. Staining of formalin-fixed tissues requires heating tissue sections in 10mM Tris with 1mM EDTA, pH 9.0, for 45 min at 95°C followed by cooling at RT for 20 minutes

Summary

GP2 (glycoprotein 2), also known as ZAP75, is a 537 amino acid secreted protein. It is an integral membrane protein that is secreted from intracellular zymogen granules and associates with the plasma membrane via glycosylphosphatidylinositol (GPI) linkage. GP2 is cleaved and then released into the pancreatic duct along with exocrine secretions. GP2 binds pathogens such as enterobacteria, thereby playing an important role in the innate immune response. The C-terminus of this protein is related to the C-terminus of the protein encoded by the neighboring gene, uromodulin (UMOD). GP2 is also expressed on the apical plasma membrane of specialized microfold (M) cells among enterocytes and serves as a transcytotic receptor for mucosal antigens. M cells are considered a promising target for oral vaccination against various infectious diseases.

Product Properties & Targets

Host
Rabbit
Applications
Species Reactivity
Isotype / Light Chain
IgG / Kappa
Cellular Localization
Cell surface. Secreted.
Gene Name
GP2
Positive Control
PANC-1 Cells. Pancreas
Immunogen
Recombinant fragment of human GP2 protein (around aa 35-179) (exact sequence is proprietary)
Alternate Names
Pancreatic secretory granule membrane major glycoprotein GP2, Pancreatic zymogen granule membrane protein GP-2, ZAP75, Glycoprotein 2 (zymogen granule membrane); GP2; Pancreatic zymogen granule membrane associated protein GP2; Pancreatic zymogen granule membrane protein GP-2; ZAP75

Database Links

Entrez Gene ID
SwissProt

Additional Information

Clone
GP2/8618R
Chromosome Location
16p12
Mol. Weight of Antigen
59kDa

Functions

  • Functions as an intestinal M-cell transcytotic receptor specific for type-I-piliated bacteria that participates in the mucosal immune response toward these bacteria. At the apical membrane of M-cells it binds fimH, a protein of the bacteria type I pilus tip. Internalizes bound bacteria, like E.coli and S.typhimurium, from the lumen of the intestine and delivers them, through M-cells, to the underlying organized lymphoid follicles where they are captured by antigen-presenting dendritic cells to elicit a mucosal immune response.

Key References

  • Fukuoka, S., et al. 1991. Proc. Natl. Acad. Sci. USA 88: 2898-2902.

Storage & Stability

Antibody with azide - store at 2 to 8°C. Antibody without azide - store at -20 to -80°C.Antibody is stable for 24 months. Non-hazardous. No MSDS required.

Limitations

This antibody is available for research use only and is not approved for use in diagnosis.

Supplied as

200ug/ml of Ab purified from Bioreactor Concentrate by Protein A/G. Prepared in 10mM PBS with 0.05% BSA & 0.05% azide. Also available WITHOUT BSA & azide at 1.0mg/ml.

Warranty

There are no warranties, expressed or implied, which extend beyond this description. Company is not liable for any personal injury or economic loss resulting from this product.

Reviews

There are no reviews yet.

Be the first to review “Recombinant GP2 (Glycoprotein 2) / ZAP75 Antibody”

Your email address will not be published. Required fields are marked *

PARTNERSHIP OPPORTUNITIES

NeoBiotechnologies holds Exclusive rights to 10,000 recombinant and hybridoma antibody products, available for Licensing or Collaboration.

LETS TALK