
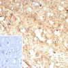
Formalin-fixed, paraffin-embedded human brain stained with GLUL Recombinant Mouse Monoclonal Antibody (rGLUL/8621). Inset: PBS instead of primary antibody; secondary only negative control.

SDS-PAGE Analysis of Purified GLUL Recombinant Mouse Monoclonal Antibody (rGLUL/8621). Confirmation of Purity and Integrity of Antibody.

Western blot analysis of Y79 cell lysate using Glutamine Synthetase Recombinant Mouse Monoclonal Antibody (rGLUL/8621).

Western blot analysis of human liver lysate using Glutamine Synthetase Recombinant Mouse Monoclonal Antibody (rGLUL/8621).

Western blot analysis of Human Liver, Mouse Liver, Rat Liver, Human Brain, Mouse Brain, Rat Brain and Y79 lysates using Glutamine Synthetase Recombinant Mouse Monoclonal Antibody (rGLUL/8621).

Western Blot Analysis of Human Brain, Mouse Brain, Rat Brain, Hamster Brain, Guinea pig Brain, Rabbit Brain, Human Liver, Mouse Liver, Rat Liver, Hamster Liver, Guinea pig Liver and Rabbit Liver tissue lysates using Glutamine Synthetase Recombinant Mouse Monoclonal Antibody (rGLUL/8621).
Glutamine synthetase (Gl Syn) forms a homo-octamer that serves as a catalyst for the amination of glutamic acid to form glutamine. This enzyme is a marker for astrocytes, which serve as the primary site of conversion of glutamic acid to glutamine in the brain. Induction of glutamine synthetase is seen upon astrocyte cell contact with neurons. Elevated expression of glutamine synthetase in glial cells has been shown to protect neurons from degeneration due to excess glutamate. Glutamine synthetase is also present in the liver and is involved in nitrogen homeostasis. Overexpression of glutamine synthetase has been shown in primary liver cancers, indicating a potential role for glutamine synthetase in hepatocyte transformation.
There are no reviews yet.