
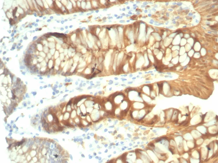
Formalin-fixed, paraffin-embedded human colon stained with Galectin-3 Recombinant Mouse Monoclonal Antibody (rLGALS3/7286). HIER: Tris/EDTA, pH9.0, 45min. 2°C: HRP-polymer, 30min. DAB, 5min.

Western Blot Analysis of MCF-7 lysate using Galectin-3 Mouse Recombinant Monoclonal Antibody (rLGALS3/7286)

SDS-PAGE Analysis Purifie LGALS3 Recombinant Mouse Monoclonal Antibody (rLGALS3/7286). Confirmation of Purity and Integrity of Antibody.
Galectin-3 is a member of the beta-galactosidase-binding lectin family. It is associated with cell growth, adhesion, inflammation, mRNA processing, and apoptosis. Aberrant expression of Galectin-3 is related to malignant transformation and metastasis in carcinomas of the breast, colon and thyroid.Galectin-3 reactivity can be seen in the nucleus of neutrophils, vascular endothelium, carcinomas of the colon, breast, and thyroid. Galectin-3 may be useful in the differentiation �of benign and malignant thyroid neoplasms.Galectin-3 may also be useful in the identification of certain liver disorders.
There are no reviews yet.