
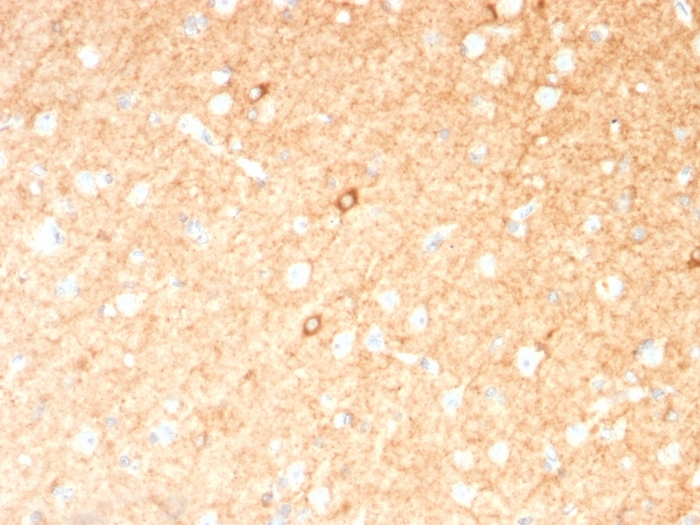
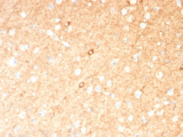
Formalin-fixed, paraffin-embedded human Brain stained with GAD1 (GAD67) Mouse Monoclonal Antibody (GAD1/2391).

SDS-PAGE Analysis of Purified GAD1 (GAD67) Mouse Monoclonal Antibody (GAD1/2391). Confirmation of Integrity and Purity of Antibody.

Western Blot Analysis of human Brain tissue lysate using GAD1 (GAD67) Mouse Monoclonal Antibody (GAD1/2391).

Analysis of Protein Array containing more than 19,000 full-length human proteins using GAD1 (GAD67) Mouse Monoclonal Antibody (GAD1/2391) Z- and S- Score: The Z-score represents the strength of a signal that a monoclonal antibody (MAb) (in combination with a fluorescently-tagged anti-IgG secondary antibody) produces when binding to a particular protein on the HuProtTM array. Z-scores are described in units of standard deviations (SD’s) above the mean value of all signals generated on that array. If targets on HuProtTM are arranged in descending order of the Z-score, the S-score is the difference (also in units of SD’s) between the Z-score. S-score therefore represents the relative target specificity of a MAb to its intended target. A MAb is considered to specific to its intended target, if the MAb has an S-score of at least 2.5. For example, if a MAb binds to protein X with a Z-score of 43 and to protein Y with a Z-score of 14, then the S-score for the binding of that MAb to protein X is equal to 29.
This MAb recognizes a protein of 67kDa, which is identified as glutamic acid decarboxylase 1 (GDA1). There are two forms of glutamic acid decarboxylases (GADs) that are found in the brain: GAD65 (also known as GAD2) and GAD67 (also known as GAD1. GAD65 and GAD67 are members of the group II decarboxylase family of proteins and are responsible for catalyzing the rate-limiting step in the production of GABA (-aminobutyric acid) from L-glutamic acid. Although both GAD s are found in the brain, GAD65 localizes to synaptic vesicle membranes in nerve terminals, while GAD67 is distributed throughout the cell. GAD67 is responsible for the basal levels of GABA synthesis. In the case of a heightened demand for GABA in neurotransmission, GAD65 will transiently activate to assist in GABA production. The loss of GAD65 is detrimental and can impair GABA neurotransmission, however the loss of GAD67 is lethal.
There are no reviews yet.