
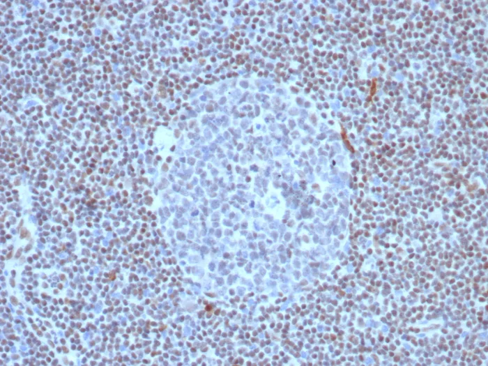
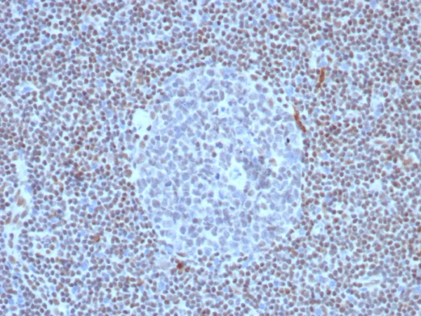
Formalin-fixed, paraffin-embedded human lymph node stained with Fli1 Recombinant Rabbit Monoclonal Antibody (FLI1/8318R). HIER: Tris/EDTA, pH9.0, 45min. 2°C: HRP-polymer, 30min. DAB, 5min.
Recognizes a protein of 51kDa, which is identified as FLI1. This protein, a member of the ETS family of DNA binding transcription factors, is involved in cellular proliferation and tumorigenesis. Ets-1 is the prototype member of a family of genes identified on the basis of homology to the v-Ets oncogene isolated from the E26 erythroblastosis virus. Members of the Ets gene family share a highly conserved carboxy-terminal domain containing a sequence related to the SV40 large T antigen nuclear localization signal sequence. Approximately 90% of Ewing s Sarcoma (EWS) / Primitive Neuroectodermal Tumors (PNET) have a specific translocation, t(11;22)(q24;q12), which results in fusion of EWS to Fli-1, and production of an EWS-Fli-1 fusion protein. Among normal tissues only endothelial cells and small lymphocytes express Fli-1. This protein is expressed in majority of vascular tumors including angiosarcomas, hemangioendotheliomas, hemangiomas, and Kaposi s Sarcomas. High sensitivity and specificity of Fli-1 equals to or exceeds that of the established vascular markers like CD31, CD34, and Factor VIII.
There are no reviews yet.