FLI1 (Ewing's Sarcoma & Endothelial Marker) Antibody [FLI1/1312]

In Stock
Catalog Number Formulation Size Price
2313-MSM2-P0
Purified Ab with BSA and Azide at 200ug/ml
20ug
$259.00
2313-MSM2-P1
Purified Ab with BSA and Azide at 200ug/ml
100ug
$559.00
2313-MSM2-P1ABX
Purified Ab WITHOUT BSA at 1.0mg/ml
100ug
$559.00
Flat Rate Domestic: $95 | Orders outside the US - Contact Us for Order Information | Ships next business day

Applications & Dilutions

Applications Tested Dillution Protocol
Flow Cytometry (Flow)
1-2ug/million cells
Immunofluorescence (IF)
1-3ug/ml
Western Blot (WB)
2-4ug/ml

Summary

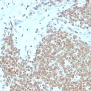
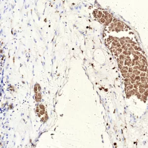
Recognizes a protein of 51kDa, which is identified as FLI1. This protein, a member of the ETS family of DNA binding transcription factors, is involved in cellular proliferation and tumorigenesis. Ets-1 is the prototype member of a family of genes identified on the basis of homology to the v-Ets oncogene isolated from the E26 erythroblastosis virus.Members of the Ets gene family share a highly conserved carboxy-terminal domain containing a sequence related to the SV40 large T antigen nuclear localization signal sequence. Approximately 90% of Ewing’s Sarcoma (EWS) / Primitive Neuroectodermal Tumors (PNET) have a specific translocation, t(11;22)(q24;q12), which results in fusion of EWS to Fli-1, and production of an EWS-Fli-1 fusion protein. Among normal tissues only endothelial cells and small lymphocytes express Fli-1. This protein is expressed in majority of vascular tumors including angiosarcomas, hemangioendotheliomas, hemangiomas, and Kaposi’s Sarcomas. High sensitivity and specificity of Fli-1 equals to or exceeds that of the established vascular markers like CD31, CD34, and Factor VIII.

Product Properties & Targets

Antibody Type
Host
Mouse
Species Reactivity
Isotype / Light Chain
IgG1 / Kappa
Cellular Localization
Nucleus
Gene Name
Positive Control
Ewing's sarcoma (EWS) and Angiosarcoma, THP1 and Raji cells. Tonsil
Immunogen
Recombinant fragment (aa 107-261) of human FLI1 protein with hexa-histidine tag
Alternate Names
Friend leukemia integration 1 transcription factor, Proto-oncogene Fli-1, Transcription factor ERGB, ERGB transcription factor; Ewing Sarcoma breakpoint region 2 (EWSR2); FLI1; FLI1 EWS fusion gene; Friend leukemia integration 1 (FLI1) transcription factor; Friend leukemia virus integration 1; Proto-oncogene Fli-1; SIC1; Transcription factor ERGB; Viral integration region FLI1

Database Links

Entrez Gene ID
SwissProt

Additional Information

Clone
FLI1/1312
Chromosome Location
11q24.1-q24.3
Mol. Weight of Antigen
51kDa

Functions

  • Sequence-specific transcriptional activator (PubMed:24100448, PubMed:26316623, PubMed:28255014). Recognizes the DNA sequence 5'-C[CA]GGAAGT-3'.

Key References

  • Sabrina Rossi, Enrico Orvieto, Alberto Furlanetto, Licia Laurino, Vito Ninfo and Angelo P Dei Tos. Utility of the immunohistochemical detection of FLI-1 expression in round cell and vascular neoplasm using a monoclonal antibody. Modern Pathology (2004) 17, 547-552.

Storage & Stability

Antibody with azide - store at 2 to 8°C. Antibody without azide - store at -20 to -80°C. Antibody is stable for 24 months. Non-hazardous. No MSDS required.

Limitations

This antibody is available for research use only and is not approved for use in diagnosis.

Supplied as

200ug/ml of Ab Purified from rabbit anti-serum by Protein A. Prepared in 10mM PBS with 0.05% BSA & 0.05% azide. Also available WITHOUT BSA at 1.0mg/ml.

Warranty

There are no warranties, expressed or implied, which extend beyond this description. Company is not liable for any personal injury or economic loss resulting from this product.

Reviews

There are no reviews yet.

Be the first to review “FLI1 (Ewing's Sarcoma & Endothelial Marker) Antibody”

Your email address will not be published. Required fields are marked *

PARTNERSHIP OPPORTUNITIES

NeoBiotechnologies holds Exclusive rights to 10,000 recombinant and hybridoma antibody products, available for Licensing or Collaboration.

LETS TALK