
Western Blot Analysis of MCF-7 lysate using Estrogen Receptor alpha Mouse Monoclonal Antibody (ER506).

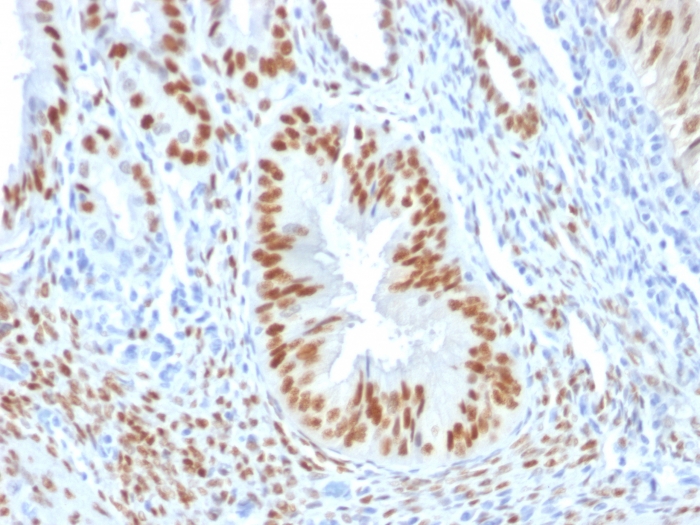
Formalin-fixed, paraffin-embedded human Endometrium stained with Estrogen Receptor alpha Mouse Monoclonal Antibody (ER506).

Flow Cytometry for human ER-alpha on MCF-7 cells. Black: cells alone; Green: Isotype Control; Red: PE-labeled Estrogen Receptor alpha Mouse Monoclonal Antibody (ER506).

SDS-PAGE Analysis Purified Estrogen Receptor alpha Mouse Monoclonal Antibody (ER506). Confirmation of Integrity and Purity of Antibody.

Western Blot Analysis of T47D lysate using ESR1 Mouse Monoclonal Antibody (ER506).

Analysis of Protein Array containing more than 19,000 full-length human proteins using Estrogen Receptor, alpha Mouse Monoclonal Antibody (ER506). Z- and S- Score: The Z-score represents the strength of a signal that a monoclonal antibody (MAb) (in combination with a fluorescently-tagged anti-IgG secondary antibody) produces when binding to a particular protein on the HuProtTM array. Z-scores are described in units of standard deviations (SDÂ’s) above the mean value of all signals generated on that array. If targets on HuProtTM are arranged in descending order of the Z-score, the S-score is the difference (also in units of SDÂ’s) between the Z-score. S-score therefore represents the relative target specificity of a MAb to its intended target. A MAb is considered to specific to its intended target, if the MAb has an S-score of at least 2.5. For example, if a MAb binds to protein X with a Z-score of 43 and to protein Y with a Z-score of 14, then the S-score for the binding of that MAb to protein X is equal to 29.
This MAb is specific to ER alpha and shows minimal cross-reaction with other members of the family. ER is an important regulator of growth and differentiation in the mammary gland. Presence of ER in breast tumors indicates an increased likelihood of response to anti-estrogen (e.g. tamoxifen) therapy. It strongly stains nuclei of epithelial cells in breast carcinomas.
There are no reviews yet.