Recombinant Double Stranded DNA (dsDNA) (Nuclear Marker) Antibody [rDSD/8266]

In Stock
Best Seller
Catalog Number Formulation Size Price
MSM8-8266-P0
Purified Ab with BSA and Azide at 200ug/ml
20ug
$259.00
MSM8-8266-P1
Purified Ab with BSA and Azide at 200ug/ml
100ug
$559.00
MSM8-8266-P1ABX
Purified Ab WITHOUT BSA and Azide at 1.0mg/ml
100ug
$559.00
Flat Rate Domestic: $95 | Orders outside the US - Contact Us for Order Information | Ships next business day

Applications & Dilutions

Applications Tested Dillution Protocol Note
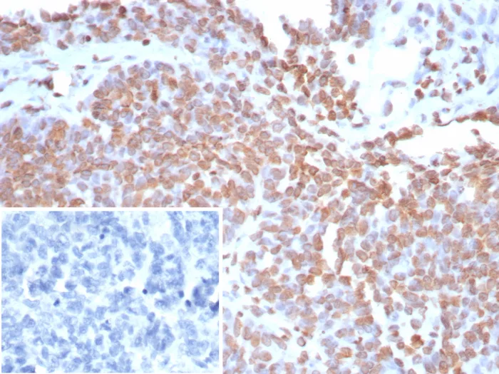
Immunohistochemistry (IHC)
1-2ug/ml
30 min at RT. Staining of formalin-fixed tissues requires heating tissue sections in 10mM Tris with 1mM EDTA, pH 9.0, for 45 min at 95°C followed by cooling at RT for 20 minutes

Summary

This monoclonal antibody is part of a new panel of reagents, which recognizes subcellular organelles or compartments of human cells. These markers may be useful in identification of these organelles in cells, tissues, and biochemical preparations. This MAb recognizes the double stranded DNA in human cells. It can be used to stain the nuclei in cell or tissue preparations and can be used as a nuclear marker in human cells. This MAb produces a homogeneous staining pattern in the nucleus of normal and malignant cells.Double Stranded deoxyribonucleic acid (ds DNA) is the genetic material of all cells and many viruses and is a polymer of nucleotides. The monomer consists of phosphorylated 2-deoxyribose N-glycosidically linked to one of four bases, adenine, cytosine, guanine or thymine. These are linked together by 3',5'-phosphodiester bridges. In the Watson-Crick double-helix model, two complementary strands are wound in a right-handed helix and held together by hydrogen bonds between complementary base pairs.

Product Properties & Targets

Host
Mouse
Applications
Species Reactivity
Isotype / Light Chain
IgG2b / Kappa
Cellular Localization
Nucleus
Positive Control
Jurkat or HeLa cells. Human tonsil or colon.|Raji
Immunogen
Nuclei of Burkitt's cells
Alternate Names
, Not Applicable

Database Links

Entrez Gene ID
SwissProt

Additional Information

Clone
rDSD/8266
Chromosome Location
Not Applicable
Mol. Weight of Antigen
Not Known

Key References

  • Epstein, A.L. and Clevenger, C.V., Identification of nuclear antigens in human cells by immunofluorescence, immunoelectron microscopy, and immuno-biochemical methods using monoclonal antibodies. In Progress on nonhistone protein research, Vol. 1, Isaac Bekhor, ed., 1985, CRC Press, Boca Raton, FL, pp 117-137.

Storage & Stability

Antibody with azide - store at 2 to 8°C. Antibody without azide - store at -20 to -80°C.Antibody is stable for 24 months. Non-hazardous. No MSDS required.

Limitations

This antibody is available for research use only and is not approved for use in diagnosis.

Supplied as

200ug/ml of Ab purified from Bioreactor Concentrate. Prepared in 10mM PBS with 0.05% BSA & 0.05% azide. Also available WITHOUT BSA & azide at 1.0mg/ml.

Warranty

There are no warranties, expressed or implied, which extend beyond this description. Company is not liable for any personal injury or economic loss resulting from this product.

Reviews

There are no reviews yet.

Be the first to review “Recombinant Double Stranded DNA (dsDNA) (Nuclear Marker) Antibody”

Your email address will not be published. Required fields are marked *

PARTNERSHIP OPPORTUNITIES

NeoBiotechnologies holds Exclusive rights to 10,000 recombinant and hybridoma antibody products, available for Licensing or Collaboration.

LETS TALK