CPS1 / Carbamoyl-Phosphate Synthetase (Hepatocellular Marker) Antibody [CPS1/1022]

In Stock
Catalog Number Formulation Size Price
1373-MSM1-P0
Purified Ab with BSA and Azide at 200ug/ml
20ug
$259.00
1373-MSM1-P1
Purified Ab with BSA and Azide at 200ug/ml
100ug
$559.00
1373-MSM1-P1ABX
Purified Ab WITHOUT BSA and Azide at 1.0mg/ml
100ug
$559.00
Flat Rate Domestic: $95 | Orders outside the US - Contact Us for Order Information | Ships next business day

Applications & Dilutions

Applications Tested Dillution Protocol Note
Immunohistochemistry (IHC)
1-2ug/ml
30 min at RT. Staining of formalin-fixed tissues requires heating tissue sections in 10mM Tris with 1mM EDTA, pH 9.0, for 45 min at 95°C followed by cooling at RT for 20 minutes

Summary

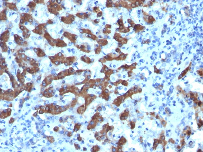
This MAb recognizes a protein of 165kDa, identified as carbamoyl phosphate synthetase 1 (CPS1). This mitochondrial enzyme catalyzes synthesis of carbamoyl phosphate from ammonia and bicarbonate. This reaction is the first committed step of the urea cycle, which is important in the removal of excess urea from cells.Deficiency of CPS1 is an autosomal recessive disorder that causes hyperammonemia. CPS1 is a hepatocyte specific protein that localizes to the mitochondria of hepatocytes. It is a sensitive marker for distinguishing hepatocellular carcinomas (HCC) from other metastatic carcinomas as well as cholangio-carcinomas. HCC’s occur primarily in the stomach, but they are also found in many other organs. CPS1 may also be a useful marker for intestinal metaplasia. Reportedly, strong expression of CPS1 correlates with smaller tumor size and longer patient survival. Occasionally, CPS1 is also found in gastric carcinomas as well as in a few other non-hepatic tumors.

Product Properties & Targets

Antibody Type
Host
Mouse
Applications
Species Reactivity
Research Areas
Isotype / Light Chain
IgG1 / Kappa
Cellular Localization
Mitochondrion, Nucleolus, Nucleus
Gene Name
Positive Control
HeLa cells. Liver or Hepatocellular Carcinoma (HCC).
Immunogen
Recombinant human CPS1 protein
Alternate Names
Carbamoyl-phosphate synthase [ammonia], mitochondrial, Carbamoyl-phosphate synthetase I, Carbamoyl-phosphate synthetase 1 (CPS1); Carbamoylphosphate synthetase 1; CPSase 1; CPSASE1

Database Links

Entrez Gene ID
SwissProt

Additional Information

Clone
CPS1/1022
Chromosome Location
2q35
Mol. Weight of Antigen
~165kDa

Functions

  • Involved in the urea cycle of ureotelic animals where the enzyme plays an important role in removing excess ammonia from the cell.

Key References

  • Fan, Z., et al. Mod. Pathol 2003; 16: 137-144, 2003.
  • Haraguchi, Y., et al. 1991. Cloning and sequence of a cDNA encoding human carbamyl phosphate synthetase I: molecular analysis of hyperam- monemia. Gene 107: 335-340.
  • Ramos-Vara, J.A., et al. Histochem 2002; J. 34: 397-401.

Storage & Stability

Antibody with azide - store at 2 to 8°C. Antibody without azide - store at -20 to -80°C. Antibody is stable for 24 months. Non-hazardous. No MSDS required.

Limitations

This antibody is available for research use only and is not approved for use in diagnosis.

Supplied as

200ug/ml of Ab Purified from Bioreactor Concentrate by Protein A/G. Prepared in 10mM PBS with 0.05% BSA & 0.05% azide. Also available WITHOUT BSA & azide at 1.0mg/ml.

Warranty

There are no warranties, expressed or implied, which extend beyond this description. Company is not liable for any personal injury or economic loss resulting from this product.

Reviews

There are no reviews yet.

Be the first to review “CPS1 / Carbamoyl-Phosphate Synthetase (Hepatocellular Marker) Antibody”

Your email address will not be published. Required fields are marked *

PARTNERSHIP OPPORTUNITIES

NeoBiotechnologies holds Exclusive rights to 10,000 recombinant and hybridoma antibody products, available for Licensing or Collaboration.

LETS TALK