
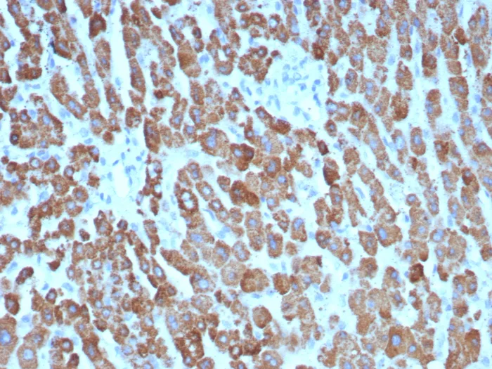
Formalin-fixed, paraffin-embedded human hepatocellular carcinoma stained with CPS1 Mouse Monoclonal Antibody (CPS1/8416). HIER: Tris/EDTA, pH9.0, 45min. 2°C: HRP-polymer, 30min. DAB, 5min.
This MAb recognizes a protein of 165kDa, identified as carbamoyl phosphate synthetase 1 (CPS1). This mitochondrial enzyme catalyzes synthesis of carbamoyl phosphate from ammonia and bicarbonate. This reaction is the first committed step of the urea cycle, which is important in the removal of excess urea from cells. �Deficiency of CPS1 is an autosomal recessive disorder that causes hyperammonemia. CPS1 is a hepatocyte specific protein that localizes to the mitochondria of hepatocytes. It is a sensitive marker for distinguishing hepatocellular carcinomas (HCC) from other metastatic carcinomas as well as cholangio-carcinomas. HCC s occur primarily in the stomach, but they are also found in many other organs. CPS1 may also be a useful marker for intestinal metaplasia. Reportedly, strong expression of CPS1 correlates with smaller tumor size and longer patient survival. Occasionally, CPS1 is also found in gastric carcinomas as well as in a few other non-hepatic tumors.
There are no reviews yet.