Recombinant Collagen IV alpha 5 chain / COL4A5 Antibody [COL4A5/9396R]

In Stock
Catalog Number Formulation Size Price
1287-RBM3-P0
Purified Ab with BSA and Azide at 200ug/ml
20ug
$259.00
1287-RBM3-P1
Purified Ab with BSA and Azide at 200ug/ml
100ug
$559.00
1287-RBM3-P1ABX
Purified Ab WITHOUT BSA and Azide at 1.0mg/ml
100ug
$559.00
Flat Rate Domestic: $95 | Orders outside the US - Contact Us for Order Information | Ships next business day

Applications & Dilutions

Applications Tested Dillution Protocol Note
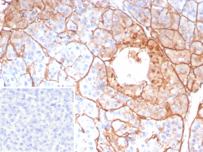
Immunohistochemistry (IHC)
1-2ug/ml
30 min at RT. Staining of formalin-fixed tissues requires heating tissue sections in 10mM Tris with 1mM EDTA, pH 9.0, for 45 min at 95°C followed by cooling at RT for 20 minutes

Summary

Type IV collagen is the major structural component of the glomerular basement membrane (GBM), forming a hexagonal network together with lamins, proteoglycans, and nestin. Deletions of the N-terminal regions of COL4A5 and COL4A6 were found in Xq22.3 chromosome deletion syndrome and were located in an end-to-end manner. This results in a phenotype characteristic of diffuse leiomyomatosis and Alport syndrome (DL-ATS).

Product Properties & Targets

Host
Rabbit
Applications
Species Reactivity
Isotype / Light Chain
IgG / Kappa
Cellular Localization
Secreted. Basement membrane.
Gene Name
Positive Control
Human placenta or tonsil.
Immunogen
Recombinant fragment (around aa1400-1685) of human COL4A protein (exact sequence is proprietary)
Alternate Names
Collagen alpha-5(IV) chain, Collagen alpha-5(IV) chain; COL4A5

Database Links

Entrez Gene ID
SwissProt

Additional Information

Clone
COL4A5/9396R
Chromosome Location
Xq22.3
Mol. Weight of Antigen
161kDa

Functions

  • Type IV collagen is the major structural component of glomerular basement membranes (GBM), forming a 'chicken-wire' meshwork together with laminins, proteoglycans and entactin/nidogen.

Key References

  • Tsugio Seki et al. Histochem Cell Biol (1998) 110:359-366.
  • Yoshioka K et al. Am. J. Pathol (1994) 144: 986-996.

Storage & Stability

Antibody with azide - store at 2 to 8°C. Antibody without azide - store at -20 to -80°C.Antibody is stable for 24 months. Non-hazardous. No MSDS required.

Limitations

This antibody is available for research use only and is not approved for use in diagnosis.

Supplied as

200ug/ml of Ab produced in HEK293 cell mammalian-based expression system. Prepared in 10mM PBS with 0.05% BSA & 0.05% azide. Also available WITHOUT BSA & azide at 1.0mg/ml.

Warranty

There are no warranties, expressed or implied, which extend beyond this description. Company is not liable for any personal injury or economic loss resulting from this product.

Reviews

There are no reviews yet.

Be the first to review “Recombinant Collagen IV alpha 5 chain / COL4A5 Antibody”

Your email address will not be published. Required fields are marked *

PARTNERSHIP OPPORTUNITIES

NeoBiotechnologies holds Exclusive rights to 10,000 recombinant and hybridoma antibody products, available for Licensing or Collaboration.

LETS TALK