Recombinant CFTR (Cystic Fibrosis Transmembrane Conductance Regulator) Antibody [CFTR/9148R]

In Stock
Catalog Number Formulation Size Price
1080-RBM20-P0
Purified Ab with BSA and Azide at 200ug/ml
20ug
$259.00
1080-RBM20-P1
Purified Ab with BSA and Azide at 200ug/ml
100ug
$559.00
1080-RBM20-P1ABX
Purified Ab WITHOUT BSA and Azide at 1.0mg/ml
100ug
$559.00
Flat Rate Domestic: $95 | Orders outside the US - Contact Us for Order Information | Ships next business day

Applications & Dilutions

Applications Tested Dillution Protocol Note
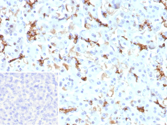
Immunohistochemistry (IHC)
1-2ug/ml
30 min at RT. Staining of formalin-fixed tissues requires heating tissue sections in 10mM Tris with 1mM EDTA, pH 9.0, for 45 min at 95°C followed by cooling at RT for 20 minutes

Summary

Recognizes a protein of 165-170kDa, identified as cystic fibrosis transmembrane conductance regulator (CFTR). CFTR is composed of two membrane-spanning domains (MSD), two nucleotide-binding domains (NBD), and an R domain. It is structurally similar to multidrug resistance (Mdr1) protein and both are members of the superfamily of ATP-binding cassette (ABC) transporters, also known as traffic ATPases, which are implicated in the movement of various substrates. The CFTR protein is a small conductance adenosine 3',5'-cyclic monophosphate (cAMP)-activated chloride ion channel found in the apical membranes of epithelia within the pancreas, airway, intestine, bile duct, sweat gland, and male genital ducts. CFTR is a valuable marker of human pancreatic duct cell development and differentiation.

Product Properties & Targets

Host
Rabbit
Applications
Species Reactivity
Isotype / Light Chain
IgG / Kappa
Cellular Localization
Cell Surface. Cytoplasm.
Gene Name
Positive Control
Human pancreas|kidney or placenta.
Immunogen
Recombinant fragment (around aa 258-385) of human CFTR protein (exact sequence is proprietary)
Alternate Names
Cystic fibrosis transmembrane conductance regulator, ATP-binding cassette sub-family C member 7, Channel conductance-controlling ATPase, cAMP-dependent chloride channel, ABC35; ATP Binding Cassette Superfamily C Member 7 (ABCC7); cAMP-dependent chloride channel; CFTR/MRP; Channel conductance-controlling ATPase; Cystic Fibrosis Transmembrane Conductance Regulator; MRP7; TNR CFTR

Database Links

Entrez Gene ID
SwissProt

Additional Information

Clone
CFTR/9148R
Chromosome Location
7q31.2
Mol. Weight of Antigen
165-170kDa

Functions

  • Epithelial ion channel that plays an important role in the regulation of epithelial ion and water transport and fluid homeostasis (PubMed:26823428). Mediates the transport of chloride ions across the cell membrane (PubMed:10792060, PubMed:11524016, PubMed:11707463, PubMed:12519745, PubMed:15010471, PubMed:12588899, PubMed:17036051, PubMed:19398555, PubMed:19621064, PubMed:22178883, PubMed:25330774, PubMed:1712898, PubMed:8910473, PubMed:9804160, PubMed:12529365, PubMed:17182731, PubMed:26846474, PubMed:28087700). Channel activity is coupled to ATP hydrolysis (PubMed:8910473). The ion channel is also permeable to HCO(3)(-); selectivity depends on the extracellular chloride concentration (PubMed:15010471, PubMed:19019741). Exerts its function also by modulating the activity of other ion channels and transporters (PubMed:12403779, PubMed:22178883, PubMed:22121115, PubMed:27941075). Plays an important role in airway fluid homeostasis (PubMed:16645176, PubMed:19621064, PubMed:26823428). Contributes to the regulation of the pH and the ion content of the airway surface fluid layer and thereby plays an important role in defense against pathogens (PubMed:14668433, PubMed:16645176, PubMed:26823428). Modulates the activity of the epithelial sodium channel (ENaC) complex, in part by regulating the cell surface expression of the ENaC complex (PubMed:17434346, PubMed:27941075, PubMed:17182731). Inhibits the activity of the ENaC channel containing subunits SCNN1A, SCNN1B and SCNN1G (PubMed:17182731). Inhibits the activity of the ENaC channel containing subunits SCNN1D, SCNN1B and SCNN1G, but not of the ENaC channel containing subunits SCNN1A, SCNN1B and SCNN1G (PubMed:17182731, PubMed:27941075). May regulate bicarbonate secretion and salvage in epithelial cells by regulating the transporter SLC4A7 (PubMed:12403779). Can inhibit the chloride channel activity of ANO1 (PubMed:22178883). Plays a role in the chloride and bicarbonate homeostasis during sperm epididymal maturation and capacitation (PubMed:19923167, PubMed:27714810).

Key References

  • Riordan, J.R., et al. 1989. Science 245: 1066-1073.

PubMed Links

Storage & Stability

Antibody with azide - store at 2 to 8°C. Antibody without azide - store at -20 to -80°C.Antibody is stable for 24 months. Non-hazardous. No MSDS required.

Limitations

This antibody is available for research use only and is not approved for use in diagnosis.

Supplied as

200ug/ml of Ab purified from Bioreactor Concentrate by Protein A/G. Prepared in 10mM PBS with 0.05% BSA & 0.05% azide. Also available WITHOUT BSA & azide at 1.0mg/ml.

Warranty

There are no warranties, expressed or implied, which extend beyond this description. Company is not liable for any personal injury or economic loss resulting from this product.

Reviews

There are no reviews yet.

Be the first to review “Recombinant CFTR (Cystic Fibrosis Transmembrane Conductance Regulator) Antibody”

Your email address will not be published. Required fields are marked *

PARTNERSHIP OPPORTUNITIES

NeoBiotechnologies holds Exclusive rights to 10,000 recombinant and hybridoma antibody products, available for Licensing or Collaboration.

LETS TALK