
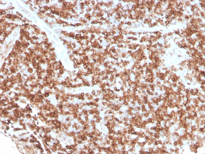
Formalin-fixed, paraffin-embedded human Tonsil stained with CD74 Recombinant Mouse Monoclonal Antibody (rCLIP/813).

SDS-PAGE Analysis of Purified CD74 Recombinant Mouse Monoclonal Antibody (rCLIP/813). Confirmation of Purity and Integrity of Antibody.

Western Blot Analysis of Raji Cell lysate using CD74 Recombinant Mouse Monoclonal Antibody (rCLIP/813).
It recognizes a protein of ~35kDa, identified as CD74 (Workshop IV). CD74 is a type II transmembrane protein which binds to the peptide binding groove of newly synthesized MHC class II alpha/beta heterodimers and prevents their premature association with endogenous polypeptides. CD74 is expressed primarily by antigen presenting cells, such as B-lymphocytes (from before the pre-B cell stage to before the plasma cell stage), macrophages, and monocytes, and many epithelial cells. Anti-CD74 stains predominantly germinal center lymphocytes and B-cell lymphomas, but rarely T-cell lymphomas. Anti-CD74 has been shown to be useful in differentiating atypical fibroxanthoma (-) from malignant fibrous histiocytoma (+).
There are no reviews yet.