Recombinant CD74 (B-Cell Marker) (Transcription Regulator) Antibody [rCLIP/8679]

In Stock
Catalog Number Formulation Size Price
972-MSM23-P0
Purified Ab with BSA and Azide at 200ug/ml
20ug
$259.00
972-MSM23-P1
Purified Ab with BSA and Azide at 200ug/ml
100ug
$559.00
972-MSM23-P1ABX
Purified Ab WITHOUT BSA and Azide at 1.0mg/ml
100ug
$559.00
Flat Rate Domestic: $95 | Orders outside the US - Contact Us for Order Information | Ships next business day

Applications & Dilutions

Applications Tested Dillution Protocol Note
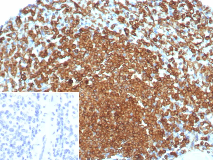
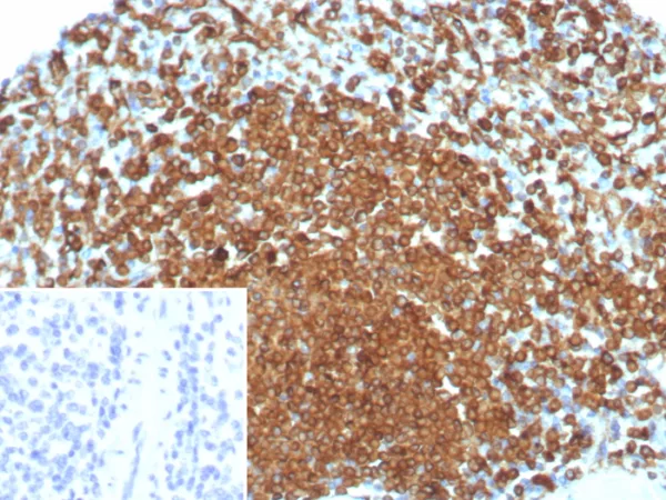
Immunohistochemistry (IHC)
1-2ug/ml
30 min at RT. Staining of formalin-fixed tissues requires heating tissue sections in 10mM Tris with 1mM EDTA, pH 9.0, for 45 min at 95°C followed by cooling at RT for 20 minutes

Summary

It recognizes a protein of ~35kDa, identified as CD74 (Workshop IV). CD74 is a type II transmembrane protein which binds to the peptide binding groove of newly synthesized MHC class II alpha/beta heterodimers and prevents their premature association with endogenous polypeptides. CD74 is expressed primarily by antigen presenting cells, such as B-lymphocytes (from before the pre-B cell stage to before the plasma cell stage), macrophages, and monocytes, and many epithelial cells. Anti-CD74 stains predominantly germinal center lymphocytes and B-cell lymphomas, but rarely T-cell lymphomas. Anti-CD74 has been shown to be useful in differentiating atypical fibroxanthoma (-) from malignant fibrous histiocytoma (+).

Product Properties & Targets

Host
Mouse
Applications
Species Reactivity
Isotype / Light Chain
IgG1 / Kappa
Cellular Localization
Cell surface. Paranuclear globular.
Gene Name
Positive Control
Human tonsil or lymph node.
Immunogen
Recombinant fragment of human CD74 protein (exact sequence is proprietary)
Alternate Names
HLA class II histocompatibility antigen gamma chain | Class-II-associated invariant chain peptide, HLA-DR antigens-associated invariant chain, Ia antigen-associated invariant chain, CLIP, DHLAG, Gamma chain of class II antigens, HLA class II histocompatibility antigen gamma chain, HLA-DR antigens-associated invariant chain, HLADR-gamma (HLADG), Ia antigen-associated invariant chain, la-gamma, Major histocompatibility complex class II invariant chain, MHC HLA-DR gamma chain

Database Links

Entrez Gene ID
972
SwissProt

Additional Information

Clone
rCLIP/8679
Chromosome Location
5q33.1
Mol. Weight of Antigen
33-41kDa

Functions

  • Plays a critical role in MHC class II antigen processing by stabilizing peptide-free class II alpha/beta heterodimers in a complex soon after their synthesis and directing transport of the complex from the endoplasmic reticulum to the endosomal/lysosomal system where the antigen processing and binding of antigenic peptides to MHC class II takes place. Serves as cell surface receptor for the cytokine MIF.
  • Binds to the peptide-binding site of MHC class II alpha/beta heterodimers forming an alpha-beta-CLIP complex, thereby preventing the loading of antigenic peptides to the MHC class II complex until its release by HLA-DM in the endosome.
  • Stabilizes the conformation of mature CTSL by binding to its active site and serving as a chaperone to help maintain a pool of mature enzyme in endocytic compartments and extracellular space of antigen-presenting cells (APCs). Has antiviral activity by stymieing the endosomal entry of Ebola virus and coronaviruses, including SARS-CoV-2 (PubMed:32855215). Disrupts cathepsin-mediated Ebola virus glycoprotein processing, which prevents viral fusion and entry. This antiviral activity is specific to p41 isoform (PubMed:32855215).

Key References

  • Epstein AL et. al. J of Immunology 133: 1028-1036, 1984.
  • Marder RJ et. al. Lab Invest 52: 497-504, 1985.

Storage & Stability

Antibody with azide - store at 2 to 8°C. Antibody without azide - store at -20 to -80°C.Antibody is stable for 24 months. Non-hazardous. No MSDS required.

Limitations

This antibody is available for research use only and is not approved for use in diagnosis.

Supplied as

200ug/ml of Ab purified from Bioreactor Concentrate by Protein A/G. Prepared in 10mM PBS with 0.05% BSA & 0.05% azide. Also available WITHOUT BSA & azide at 1.0mg/ml.

Warranty

There are no warranties, expressed or implied, which extend beyond this description. Company is not liable for any personal injury or economic loss resulting from this product.

Reviews

There are no reviews yet.

Be the first to review “Recombinant CD74 (B-Cell Marker) (Transcription Regulator) Antibody”

Your email address will not be published. Required fields are marked *

PARTNERSHIP OPPORTUNITIES

NeoBiotechnologies holds Exclusive rights to 10,000 recombinant and hybridoma antibody products, available for Licensing or Collaboration.

LETS TALK