
SDS-PAGE Analysis of Purified CD5 Recombinant Mouse Monoclonal Antibody (rC5/6429). Confirmation of Purity and Integrity of Antibody.

Western blot analysis of Jurkat cell lysate using CD5 Recombinant Mouse Monoclonal Antibody (rC5/6429).

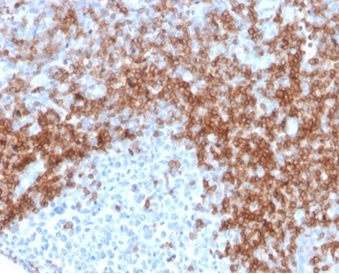
Formalin-fixed, paraffin-embedded human tonsil stained with CD5 Recombinant Mouse Monoclonal Antibody (rC5/6429).
The CD5 antigen is a transmembrane glycoprotein expressed on the surface of practically all mature human T-cells (about 10% of CD4+ T-cells being CD5 negative). In immature (CD34+) T-cells, CD5 is weakly expressed, the intensity of expression increasing with maturation. CD5 is also expressed in a small subset of normal human B-cells (20% of B-cells in the peripheral blood, scattered cells in the lymph node mantle zone). The CD5+ cells are probably involved in B-T interaction and their ligand is CD72 which is expressed on all B cells. It appears that CD5+ B-cells on activation primarily produce IgM. They also produce more autoantibodies than normal CD5 negative B-cells. Thus, the CD5+ B-cell population is expanded in rheumatoid arthritis and systemic lupus erythematosus. The CD5 antibody reacts with CD5 expressed on B and T cells, and may be a useful aid for the classification of B and T-cell malignancies. This includes B-cell chronic lymphoid leukemia (B-CLL), B-cell small lymphocytic lymphoma (B-SLL), mantle cell lymphoma (MCL) and T-cell lymphoma and leukemia.
There are no reviews yet.