
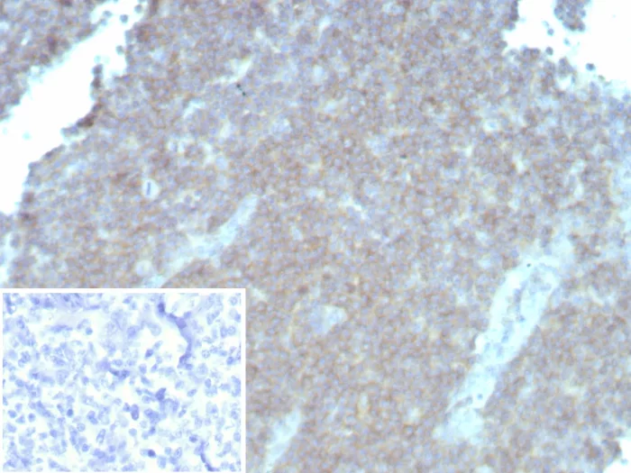
Formalin-fixed, paraffin-embedded human tonsil stained with CD48 Recombinant Mouse Monoclonal Antibody (rCD48/8834). Inset: PBS instead of primary antibody; secondary only negative control.
Reacts with human CD48, a 45kDa glycosyl phophatidyl-inositol (GPI)-anchored cell surface protein. CD48 is strongly expressed on lymphocytes and monocytes and weakly on granulocytes but is absent on platelets, fibroblasts, epithelium and endothelium. CD48 is one of marker for detecting the defects of GPI anchoring structure on the patients with paroxysmal nocturnal hemoglobulinuria (PNH) and serves as a low affinity ligand for CD2.
There are no reviews yet.