Recombinant CD30/ TNFRSF8 (Hodgkin &Reed-Sternberg Cell Marker) Antibody [rKi-1/6913]

In Stock
Catalog Number Formulation Size Price
943-MSM13-P0
Purified Ab with BSA and Azide at 200ug/ml
20ug
$259.00
943-MSM13-P1
Purified Ab with BSA and Azide at 200ug/ml
100ug
$559.00
943-MSM13-P1ABX
Purified Ab WITHOUT BSA and Azide at 1.0mg/ml
100ug
$559.00
Flat Rate Domestic: $95 | Orders outside the US - Contact Us for Order Information | Ships next business day

Applications & Dilutions

Applications Tested Dillution Protocol Note
Immunohistochemistry (IHC)
1-2ug/ml
30 min at RT. Staining of formalin-fixed tissues requires heating tissue sections in 10mM Tris with 1mM EDTA, pH 9.0, for 45 min at 95°C followed by cooling at RT for 20 minutes

Summary

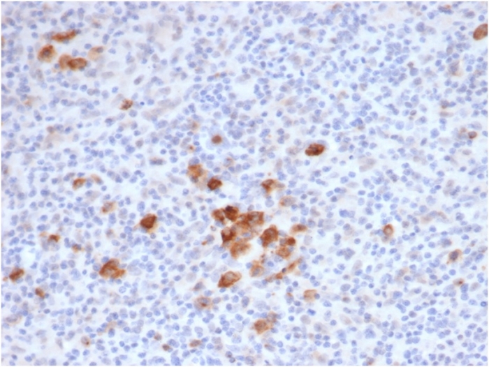
Recognizes a single chain glycoprotein of 105/120kDa, identified as CD30/Ki-1. Its epitope is located somewhere between aa 580-595 (cytoplasmic). CD30 is synthesized as a 90kDa precursor, which is processed in the Golgi complex into a membrane-bound phosphorylated mature 105/120kDa glycoprotein. In Hodgkin s disease, CD30/Ki-1 antigen is expressed by mononuclear-Hodgkin and multinucleated Reed-Sternberg cells. It is also expressed by the tumor cells of a majority of anaplastic large cell lymphomas as well as by a varying proportion of activated T and B cells. This MAb distinguishes large cell lymphomas derived from activated lymphoid cells from histiocytic malignancies and lymphomas derived from resting and precursor lymphoid cells or from anaplastic carcinomas. About one third of the Ki-1 positive lymphomas lack the leukocyte common antigen (CD45).

Product Properties & Targets

Host
Mouse
Applications
Species Reactivity
Isotype / Light Chain
IgG1 / Kappa
Cellular Localization
Cell membrane, Cytoplasm
Gene Name
Positive Control
Hodgkin s lymphoma.
Immunogen
Recombinant fragment of human TNFRSF8 protein(CD30) (Epitope is cytoplasmic aa 495-595)
Alternate Names
Tumor necrosis factor receptor superfamily member 8, CD30L receptor, Ki-1 antigen, Lymphocyte activation antigen CD30, CD30L receptor, Cytokine receptor CD30, Ki-1 antigen, Lymphocyte activation antigen CD30, Tumor necrosis factor receptor superfamily member 8 (TNFRSF8)

Database Links

Entrez Gene ID
943
SwissProt

Additional Information

Clone
rKi-1/6913
Chromosome Location
1p36.22
Mol. Weight of Antigen
105-120kDa

Functions

  • Receptor for TNFSF8/CD30L (PubMed:8391931). May play a role in the regulation of cellular growth and transformation of activated lymphoblasts. Regulates gene expression through activation of NF-kappa-B (PubMed:8999898).

Key References

  • Smith, C.A., et al. 1993. CD30 antigen, a marker for Hodgkin s lymphoma, is a receptor whose ligand defines an emerging family of cytokines with homology to TNF. Cell 73: 1349-1360.

Storage & Stability

Antibody with azide - store at 2 to 8 °C. Antibody without azide - store at -20 to -80 °C. Antibody is stable for 24 months. Non-hazardous. No MSDS required.

Limitations

This antibody is available for research use only and is not approved for use in diagnosis.

Supplied as

200ug/ml of Ab purified by Protein A Column. Prepared in 10mM PBS with0.05% BSA & 0.05% azide. Also available WITHOUT BSA & azide at 1.0mg/ml.

Warranty

There are no warranties, expressed or implied, which extend beyond this description. Company is not liable for any personal injury or economic loss resulting from this product.

Reviews

There are no reviews yet.

Be the first to review “Recombinant CD30/ TNFRSF8 (Hodgkin &Reed-Sternberg Cell Marker) Antibody”

Your email address will not be published. Required fields are marked *

PARTNERSHIP OPPORTUNITIES

NeoBiotechnologies holds Exclusive rights to 10,000 recombinant and hybridoma antibody products, available for Licensing or Collaboration.

LETS TALK