
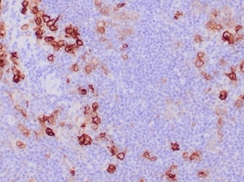
IHC analysis of formalin-fixed, paraffin-embedded human Hodgkin's lymphoma. Cytoplasmic and membranous staining using Ki-1/4399R at 2ug/ml in PBS for 30min RT. HIER: Tris/EDTA, pH9.0, 45min. 2 °: HRP-polymer, 30min. DAB, 5min.

IHC analysis of formalin-fixed, paraffin-embedded human brain. Negative tissue control using Ki-1/4399R at 2ug/ml in PBS for 30min RT. HIER: Tris/EDTA, pH9.0, 45min. 2 °: HRP-polymer, 30min. DAB, 5min.
Recognizes a single chain glycoprotein of 105/120kDa, identified as CD30/Ki-1. Its epitope is located somewhere between aa 580-595 (cytoplasmic). CD30 is synthesized as a 90kDa precursor, which is processed in the Golgi complex into a membrane-bound phosphorylated mature 105/120kDa glycoprotein. In Hodgkin s disease, CD30/Ki-1 antigen is expressed by mononuclear-Hodgkin and multinucleated Reed-Sternberg cells. It is also expressed by the tumor cells of a majority of anaplastic large cell lymphomas as well as by a varying proportion of activated T and B cells. This MAb distinguishes large cell lymphomas derived from activated lymphoid cells from histiocytic malignancies and lymphomas derived from resting and precursor lymphoid cells or from anaplastic carcinomas. About one third of the Ki-1 positive lymphomas lack the leukocyte common antigen (CD45).
There are no reviews yet.