
Formalin-fixed, paraffin-embedded human Small Intestine stained with CD209 Recombinant Rabbit Monoclonal Antibody (C209/2749R).

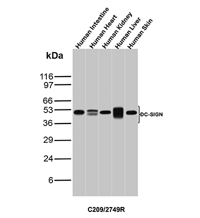
Western blot analysis of Human Intestine, Human Heart, Human Kidney, Human Liver, and Human Skin tissue lysates using DC-SIGN Recombinant Rabbit Monoclonal Antibody (C209/2749R).
DC-SIGN is a transmembrane receptor that is expressed on the surface of dendritic cells and macrophages. It is involved in the innate immune system and recognizes numerous evolutionarily divergent pathogens ranging from parasites to viruses. The protein is organized into three distinct domains: an N-terminal transmembrane domain, a tandem-repeat neck domain and C-type lectin carbohydrate recognition domain. The extracellular region consisting of the C-type lectin and neck domains has a dual function as a pathogen recognition receptor and a cell adhesion receptor by binding carbohydrate ligands on the surface of microbes and endogenous cells. The neck region is important for homo-oligomerization, which allows the receptor to bind multivalent ligands with high avidity.
There are no reviews yet.