
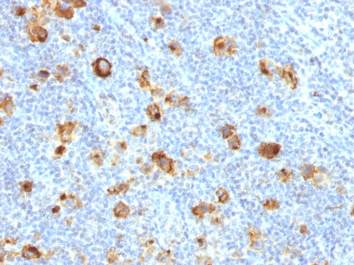
Formalin-fixed, paraffin-embedded human Hodgkin's Lymphoma stained with CD15 Rabbit Recombinant Monoclonal Antibody (FUT4/1478R).
CD15 plays a role in mediating phagocytosis, bactericidal activity, and chemotaxis. It is present on s disease. CD15 is occasionally expressed in large cell lymphomas of both B and T phenotypes which otherwise have a quite distinct histological appearance.
There are no reviews yet.