CD15 / FUT4 (Reed-Sternberg Cell Marker) Antibody [SPM119]

In Stock
Catalog Number Formulation Size Price
2526-MSM1X-P0
Purified Ab with BSA and Azide at 200ug/ml
20ug
$259.00
2526-MSM1X-P1
Purified Ab with BSA and Azide at 200ug/ml
100ug
$559.00
2526-MSM1X-P1BX
Purified Ab WITHOUT BSA at 1.0mg/ml
100ug
$559.00
Flat Rate Domestic: $95 | Orders outside the US - Contact Us for Order Information | Ships next business day

Applications & Dilutions

Applications Tested Dillution Protocol Note
Flow Cytometry (Flow)
1-2ug/million cells
Immunofluorescence (IF)
1-3ug/ml
Immunohistochemistry (IHC)
1-2ug/ml
30 min at RT. Staining of formalin-fixed tissues requires heating tissue sections in 10mM Tris with 1mM EDTA, pH 9.0, for 45 min at 95°C followed by cooling at RT for 20 minutes

Summary

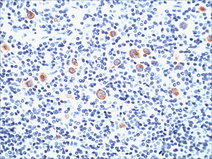
CD15 plays a role in mediating phagocytosis, bactericidal activity, and chemotaxis. It is present on 95% of granulocytes including neutrophils and eosinophils and to a lesser degree on monocytes. In addition, CD15 is expressed in Reed-Sternberg cells and some epithelial cells. CD15 antibody is very useful in the identification of Hodgkin s disease. CD15 is occasionally expressed in large cell lymphomas of both B and T phenotypes which otherwise have a quite distinct histological appearance.

Product Properties & Targets

Antibody Type
Host
Mouse
Species Reactivity
Research Areas
Isotype / Light Chain
IgM / Kappa
Cellular Localization
Golgi apparatus, Golgi stack membrane
Gene Name
Positive Control
Reed-Sternberg's cells in Hodgkin's lymphoma., U937 cells
Immunogen
U937 histiocytic cell line
Alternate Names
Alpha-(1,3)-fucosyltransferase 4, 4-galactosyl-N-acetylglucosaminide 3-alpha-L-fucosyltransferase, ELAM-1 ligand fucosyltransferase, Fucosyltransferase 4, Fucosyltransferase IV, Galactoside 3-L-fucosyltransferase, 3 Fucosyl N Acetyl Lactosamine; Alpha (1,3) Fucosyltransferase; Alpha 13 fucosyltransferase FucT; ELAM Ligand Fucosyltransferase; ELFT; FCT3A; Fuc-TIV; Fucosyltransferase 4 Alpha 1 3 Fucosyltransferase Myeloid Specific; Fucosyltransferase 4; Galactoside 3 L Fucosyltransferase; Lewis X; LeX; SSEA1; Stage Specific Embryonic Antigen 1

Database Links

Entrez Gene ID
SwissProt

Additional Information

Clone
SPM119
Chromosome Location
11q21
Mol. Weight of Antigen
220kDa

Functions

  • Catalyzes alpha(1->3) linkage of fucosyl moiety transferred from GDP-beta-L-fucose to N-acetyl glucosamine (GlcNAc) within type 2 lactosamine (LacNAc, Gal-beta(1->4)GlcNAc) glycan attached to N- or O-linked glycoproteins (PubMed:29593094, PubMed:1702034, PubMed:1716630). Robustly fucosylates nonsialylated distal LacNAc unit of the polylactosamine chain to form Lewis X antigen (CD15), a glycan determinant known to mediate important cellular functions in development and immunity. Fucosylates with lower efficiency sialylated LacNAc acceptors to form sialyl Lewis X and 6-sulfo sialyl Lewis X determinants that serve as recognition epitopes for C-type lectins (PubMed:29593094, PubMed:1716630). Together with FUT7 contributes to SELE, SELL and SELP selectin ligand biosynthesis and selectin-dependent lymphocyte homing, leukocyte migration and blood leukocyte homeostasis (By similarity). In a cell type specific manner, may also fucosylate the internal LacNAc unit of the polylactosamine chain to form VIM-2 antigen that serves as recognition epitope for SELE (PubMed:1716630, PubMed:11278338).
  • Does not generate Lewis X antigens.

Key References

  • Hanjan SN et. al. Clinical Immunology 23(2):172-88

Storage & Stability

Antibody with azide - store at 2 to 8°C. Antibody without azide - store at -20 to -80°C. Antibody is stable for 24 months. Non-hazardous. No MSDS required.

Limitations

This antibody is available for research use only and is not approved for use in diagnosis.

Supplied as

200ug/ml of Ab Purified from Bioreactor Concentrate. Prepared in 10mM PBS with 0.05% BSA & 0.05% azide. Also available WITHOUT BSA & azide at 1.0mg/ml.

Warranty

There are no warranties, expressed or implied, which extend beyond this description. Company is not liable for any personal injury or economic loss resulting from this product.

Reviews

There are no reviews yet.

Be the first to review “CD15 / FUT4 (Reed-Sternberg Cell Marker) Antibody”

Your email address will not be published. Required fields are marked *

PARTNERSHIP OPPORTUNITIES

NeoBiotechnologies holds Exclusive rights to 10,000 recombinant and hybridoma antibody products, available for Licensing or Collaboration.

LETS TALK