
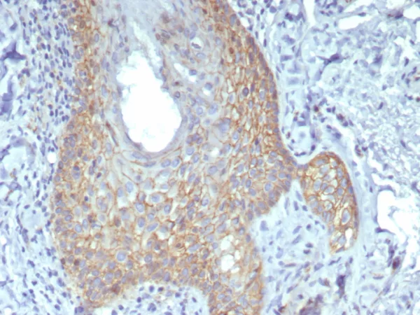
Formalin-fixed, paraffin-embedded human skin stained with Beta-Catenin Mouse Recombinant Monoclonal Antibody (rCTNNB1/8043). HIER: Tris/EDTA, pH9.0, 45min. 2°C: HRP-polymer, 30min. DAB, 5min.
Beta-catenin associates with the cytoplasmic portion of E-cadherin, which is necessary for the function of E-cadherin as an adhesion molecule. In normal tissues, beta-catenin is localized to the membrane of epithelial cells, consistent with its role in the cell adhesion complex.
There are no reviews yet.