Recombinant Biotin (Vitamin B7 or Vitamin H) Antibody [rBTN/8819]

In Stock
Catalog Number Formulation Size Price
MSM8-8819-P0
Purified Ab with BSA and Azide at 200ug/ml
20ug
$259.00
MSM8-8819-P1
Purified Ab with BSA and Azide at 200ug/ml
100ug
$559.00
MSM8-8819-P1ABX
Purified Ab WITHOUT BSA and Azide at 1.0mg/ml
100ug
$559.00
Flat Rate Domestic: $95 | Orders outside the US - Contact Us for Order Information | Ships next business day

Applications & Dilutions

Applications Tested Dillution Protocol Note
Flow Cytometry (Flow)
1-2ug/million cells
Immunofluorescence (IF)
1-3ug/ml
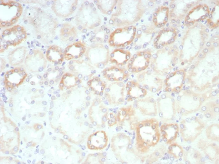
Immunohistochemistry (IHC)
1-2ug/ml
30 min at RT. Staining of formalin-fixed tissues requires heating tissue sections in 10mM Tris with 1mM EDTA, pH 9.0, for 45 min at 95°C followed by cooling at RT for 20 minutes
Western Blot (WB)
2-4ug/ml

Summary

It recognizes both the free and protein-conjugated (either soluble or cell bound) form of biotin. This MAb is highly specific to biotin and shows no cross-reaction with other structurally related compounds. It has a very high affinity for biotin and is excellent for use in various amplification techniques. In some applications, localization of biotinylated probes with avidin produces unacceptably high background staining. Anti-biotin antibody may be substituted to decrease this noise.

Product Properties & Targets

Host
Mouse
Species Reactivity
Isotype / Light Chain
IgG1 / Kappa
Cellular Localization
Depends on the target
Positive Control
Biotinylated proteins in solution or on tissues.
Immunogen
Biotinylated sheep immunoglobulin
Alternate Names
, Vitamin B7 or Vitamin H

Database Links

Entrez Gene ID
SwissProt

Additional Information

Clone
rBTN/8819
Chromosome Location
Not Applicable
Mol. Weight of Antigen
244Da

Key References

  • Uccellini MB,et al.2008.J. Immunol.181:5875.
  • Green NM,et al.2012.J Biol Chem.287:39789

Storage & Stability

Antibody with azide - store at 2 to 8°C. Antibody without azide - store at -20 to -80°C.Antibody is stable for 24 months. Non-hazardous. No MSDS required.

Limitations

This antibody is available for research use only and is not approved for use in diagnosis.

Supplied as

200ug/ml of Ab purified from Bioreactor Concentrate by Protein A/G. Prepared in 10mM PBS with 0.05% BSA & 0.05% azide. Also available WITHOUT BSA & azide at 1.0mg/ml.

Warranty

There are no warranties, expressed or implied, which extend beyond this description. Company is not liable for any personal injury or economic loss resulting from this product.

Reviews

There are no reviews yet.

Be the first to review “Recombinant Biotin (Vitamin B7 or Vitamin H) Antibody”

Your email address will not be published. Required fields are marked *

PARTNERSHIP OPPORTUNITIES

NeoBiotechnologies holds Exclusive rights to 10,000 recombinant and hybridoma antibody products, available for Licensing or Collaboration.

LETS TALK