
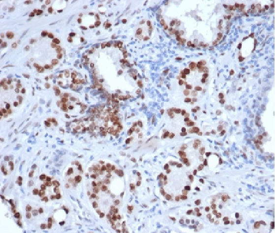
Formalin-fixed, paraffin-embedded human prostate carcinoma stained with Androgen Receptor Recombinant Mouse Monoclonal Antibody (rDHTR/6818). Inset: PBS instead of primary, secondary antibody control.
Androgen Receptor is a member of the superfamily of ligand responsive transcription regulators. The androgen receptor functions in the nucleus where it is believed to act as a transcriptional regulator mediating the action of male sex hormones. The androgen receptor has wide distribution and can be demonstrated by immunohistochemistry in several tissues including prostate, skin, and oral mucosa. Androgen receptor has been reported in a diverse range of human tumors including osteosarcoma, and in prostatic carcinoma androgen receptor expression may be of clinical relevance.
There are no reviews yet.