Aldo-keto Reductase Family 1 Member C1 / DD1 Antibody [AKR1C1/9314]

In Stock
Catalog Number Formulation Size Price
1645-MSM14-P0
Purified Ab with BSA and Azide at 200ug/ml
20ug
$259.00
1645-MSM14-P1
Purified Ab with BSA and Azide at 200ug/ml
100ug
$559.00
1645-MSM14-P1ABX
Purified Ab WITHOUT BSA and Azide at 1.0mg/ml
100ug
$559.00
Flat Rate Domestic: $95 | Orders outside the US - Contact Us for Order Information | Ships next business day

Applications & Dilutions

Applications Tested Dillution Protocol Note
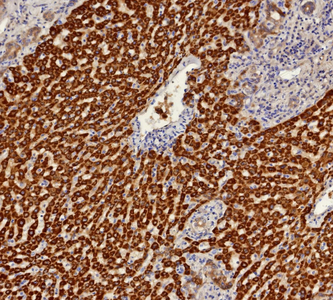
Immunohistochemistry (IHC)
1-2ug/ml
30 min at RT. Staining of formalin-fixed tissues requires heating tissue sections in 10mM Tris with 1mM EDTA, pH 9.0, for 45 min at 95°C followed by cooling at RT for 20 minutes

Summary

DDH / AKR1C1 is a member of the aldo/keto reductase superfamily, which consists of more than 40 known enzymes and proteins. These enzymes catalyze the conversion of aldehydes and ketones to their corresponding alcohols by utilizing NADH and/or NADPH as cofactors. The enzymes display overlapping but distinct substrate specificity. This enzyme catalyzes the reaction of progesterone to the inactive form 20-alpha-hydroxy-progesterone.

Product Properties & Targets

Antibody Type
Host
Mouse
Applications
Species Reactivity
Research Areas
Isotype / Light Chain
IgG2b / Kappa
Cellular Localization
Cytoplasm.
Gene Name
Positive Control
Human liver or stomach tissue.
Immunogen
Recombinant human full-length AKR1C1 protein
Alternate Names
Aldo-keto reductase family 1 member C1, 20-alpha-hydroxysteroid dehydrogenase, Chlordecone reductase homolog HAKRC, Dihydrodiol dehydrogenase 1, High-affinity hepatic bile acid-binding protein, 2-dihydrobenzene-1; 2-diol dehydrogenase; 20 alpha (3 alpha) hydroxysteroid dehydrogenase; 20ALPHAHSD; 2ALPHAHSD; AK1C1; C9; Chlordecone reductase homolog HAKRC; DD1/DD2; DDH1; Dihydrodiol dehydrogenase 1/2; H37; HBAB; Hepatic dihydrodiol dehydrogenase; High affinity hepatic bile acid-binding protein; Indanol dehydrogenase; MBAB; Trans-1,2 dihydrobenzene 1,2 diol dehydrogenase; Type II 3 alpha hydroxysteroid dehydrogenase

Database Links

Entrez Gene ID
SwissProt

Additional Information

Clone
AKR1C1/9314
Chromosome Location
10p15.1
Mol. Weight of Antigen
37kDa

Functions

  • Cytosolic aldo-keto reductase that catalyzes the NADH and NADPH-dependent reduction of ketosteroids to hydroxysteroids (PubMed:19218247). Most probably acts as a reductase in vivo since the oxidase activity measured in vitro is inhibited by physiological concentrations of NADPH (PubMed:14672942). Displays a broad positional specificity acting on positions 3, 17 and 20 of steroids and regulates the metabolism of hormones like estrogens and androgens (PubMed:10998348). May also reduce conjugated steroids such as 5alpha-dihydrotestosterone sulfate (PubMed:19218247). Displays affinity for bile acids (PubMed:8486699).

Key References

  • Binstock, J.M., et al. 1992. Human hepatic 3α-hydroxysteroid dehydrogenase: possible identity with human hepatic chlordecone reductase. Biochem. Biophys. Res. Commun. 187: 760-766.

Storage & Stability

Antibody with azide - store at 2 to 8°C. Antibody without azide - store at -20 to -80°C.Antibody is stable for 24 months. Non-hazardous. No MSDS required.

Limitations

This antibody is available for research use only and is not approved for use in diagnosis.

Supplied as

200ug/ml of Ab purified from Bioreactor Concentrate by Protein A/G. Prepared in 10mM PBS with 0.05% BSA & 0.05% azide. Also available WITHOUT BSA & azide at 1.0mg/ml.

Warranty

There are no warranties, expressed or implied, which extend beyond this description. Company is not liable for any personal injury or economic loss resulting from this product.

Reviews

There are no reviews yet.

Be the first to review “Aldo-keto Reductase Family 1 Member C1 / DD1 Antibody”

Your email address will not be published. Required fields are marked *

PARTNERSHIP OPPORTUNITIES

NeoBiotechnologies holds Exclusive rights to 10,000 recombinant and hybridoma antibody products, available for Licensing or Collaboration.

LETS TALK