
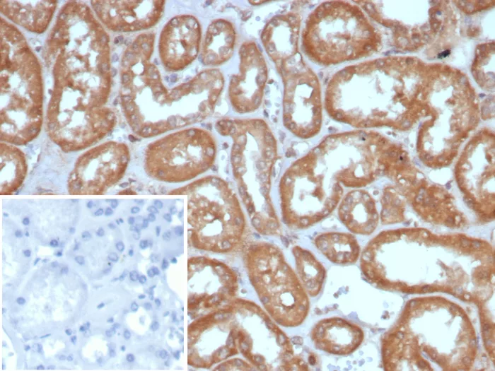
Formalin-fixed, paraffin-embedded human kidney stained with ADH1L1 Mouse Monoclonal Antibody (ALDH1L1/7958). Inset: PBS instead of primary antibody; secondary only negative control.
Aldehyde dehydrogenases (ALDHs) mediate NADP+-dependent oxidation of aldehydes into acids during detoxification of alcohol-derived acetaldehyde, lipid peroxidation and metabolism of corticosteroids, biogenic amines and neurotransmitters. ALDH1L1 (aldehyde dehydrogenase 1 family member L1), also known as FTHFD or 10-FTHFD (10-formyltetrahydrofolate dehydrogenase), is a cytosolic protein that is developmentally regulated in the cerebellum. ALDH1L1 binds to folate and catalyzes the conversion of 10-formyltetrahydrofolate (10-FTHF) to tetrahydrofolate (THF). This suggests a possible role for ALDH1L1 in the regulation of cellular THF levels as well as in the inhibition of cell proliferation (as 10-FTHF is essential for the synthesis of purine). In addition, the overexpression of ALDH1L1 can restrict cell proliferation in vitro.
There are no reviews yet.