
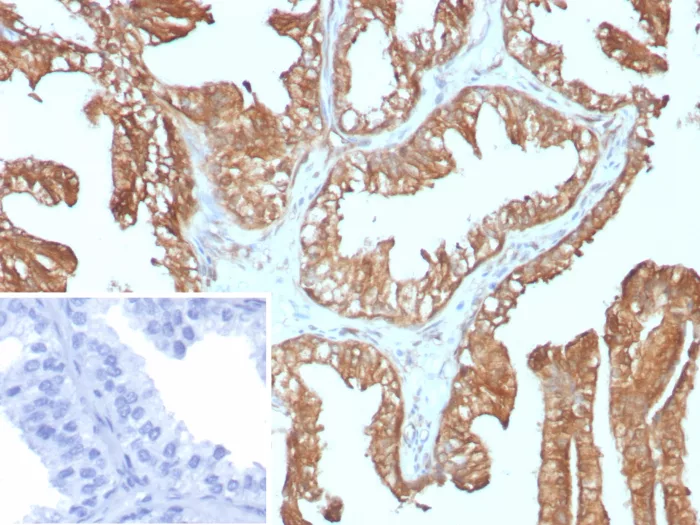
Formalin-fixed, paraffin-embedded human prostate carcinoma stained with 14-3-3E Recombinant Mouse Monoclonal Antibody (rYWHAE/8860). HIER: Tris/EDTA, pH9.0, 45min. 2°C: HRP-polymer, 30min. DAB, 5min.

SDS-PAGE Analysis of Purified YWHAE Recombinant Mouse Monoclonal Antibody (rYWHAE/8860). Confirmation of Purity and Integrity of Antibody.
Adapter protein implicated in the regulation of a large spectrum of both general and specialized signaling pathway. Binds to a large number of partners, usually by recognition of a phosphoserine or phosphothreonine motif. Binding generally results in the modulation of the activity of the binding partner. It interacts with CDC25 phosphatases, RAF1 and IRS1 proteins, suggesting its role in diverse biochemical activities related to signal transduction, such as cell division and regulation of insulin sensitivity. It has also been implicated in the pathogenesis of small cell lung cancer. The YWHAE gene which encodes 14-3-3E has also been identified as a possible susceptibility gene for schizophrenia.
There are no reviews yet.