Menu
1-866-2-NEOBIO
(1-866-263-6246)
Search Primary Antibodies
Antibody Protocol Library
Flow Cytometry Protocol
IHC Protocol
SDS Page Protocol
Antibody Validation
Antibody QC with SDS-PAGE
How to read HuProtâ„¢ Antibody Validation Results
Immunohistochemistry (IHC) Validation on FFPE Tissue
Tissue Microarray Antibody Validation
Western Blot Antibody Validation
Why All Monoclonals Are Not Monospecific
Blog
Browse By Host
Cancer Markers
Checkout
Distributors
Download Datasheet
Download Datasheet
ELISA
How To Understand HuProtâ„¢ Antibody Validation Results
human protein
Monoclonals
My Account
NeoBiotechnologies
Primary Antibodies
Protein Targets
Proteins Archive
Quality policies
Recombinant Antibody Validation
Recombinants
Refund and Returns Policy
Resources
SDS CSV Uploader
Shop Primary Antibodies
Table Search
Terms of Service
Track Your Order
Why Cancer Researchers Choose Us
Primary Antibodies
About Us
Antibody Validation
Knowledge Base
Cancer Markers
Breast Cancer Markers
Colon Cancer Markers
Colorectal Cancer Markers
Lung Cancer Markers
Neuroscience Markers
Ovarian Cancer Markers
Pancreatic Cancer Markers
Prostate Cancer Markers
Cell Markers
Neural Stem Cells
Protocols
SDS Page Protocol
Flow Cytometry Protocol
IHC Protocol
News
Distributors
Data Export
Shop Antibodies
Peroxisome Antibodies
×
Showing all 23 results
Filters
Advanced Filters
Drug Targets
(6)
Best Sellers
(2)
HuProtâ„¢ Validated
(1)
PCRP
(0)
MAbMan's Picks
(0)
Primary Antibodies
Primary Antibodies
(23)
Monoclonals
(22)
Recombinants
(13)
Recombinant Rabbit Monoclonals
(9)
Recombinant Mouse Monoclonals
(4)
Mouse Monoclonals
(12)
Rabbit Monoclonals
(7)
Rat Monoclonals
(0)
Polyclonals
(1)
Rabbit Polyclonals
(1)
MonoPolys
(0)
Rabbit MonoPolys
(0)
Other Products
(0)
Application
Chromatin immunoprecipitation
(0)
ELISA
(0)
Flow Cytometry
(3)
Functional Studies
(3)
Immunocytochemistry
(0)
Immunofluorescence
(5)
Immunohistochemistry
(20)
Immunoprecipitation
(0)
Knockdown
(0)
Sandwich ELISA (Capture)
(0)
Sandwich ELISA (Detector)
(0)
SDS-PAGE
(0)
Western Blot
(14)
Host
Armenian Hamster
(0)
Mouse
(12)
Rabbit
(11)
Rat
(0)
Gene Name
A2M
(0)
ABCB1
(0)
ABCB11
(0)
ABCC1
(0)
ABCC11
(0)
ABCC3
(0)
ABCC4
(0)
ABO
(0)
ACE
(0)
ACE2
(0)
ACP3
(0)
ACP5
(0)
ACTA1
(0)
ACTA2
(0)
ACTB
(0)
ACTN2
(0)
ACTN4
(0)
ADCY8
(0)
ADIPOQ
(0)
AFP
(0)
AGO3
(0)
AHSG
(0)
AIF1
(0)
AKR1B1
(0)
AKR1C1
(0)
AKR1C2
(0)
AKT1
(0)
ALB
(0)
ALCAM
(0)
ALDH1A1
(0)
ALDH1L1
(0)
ALK
(0)
ALPL
(0)
ALPP
(0)
AMACR
(10)
AMBP
(0)
AMH
(0)
AMPD3
(0)
ANGPT1
(0)
ANO1
(0)
ANPEP
(0)
ANXA1
(0)
ANXA2
(0)
APC
(0)
APCS
(0)
APEX1
(0)
APOA1
(0)
APOA4
(0)
APOB
(0)
APOD
(0)
APOE
(0)
APOH
(0)
APP
(0)
AQP4
(0)
AR
(0)
ARF1
(0)
ARG1
(0)
ARID1A
(0)
ASRGL1
(0)
ATF2
(0)
ATG5
(0)
ATM
(0)
ATRX
(0)
AURKB
(0)
B2M
(0)
B3GAT1
(0)
BACH2
(0)
BAP1
(0)
BARX1
(0)
BATF2
(0)
BATF3
(0)
BAX
(0)
BCL10
(0)
BCL11A
(0)
BCL2
(0)
BCL2L1
(0)
BCL2L2
(0)
BCL6
(0)
BCOR
(0)
BIRC5
(0)
BMI1
(0)
BMP15
(0)
BOLA3
(0)
BPIFB1
(0)
BRAF
(0)
BRCA1
(0)
BRCA2
(0)
BSG
(0)
BST2
(0)
BTBD9
(0)
BTLA
(0)
C1QA
(0)
C1QB
(0)
C3
(0)
C4A
(0)
C9
(0)
CA3
(0)
CA8
(0)
CA9
(0)
CALB1
(0)
CALB2
(0)
CALCA
(0)
CALD1
(0)
CANX
(0)
CAPN1
(0)
CARM1
(0)
CASP3
(0)
CASP7
(0)
CAST
(0)
CBFB
(0)
CCAR2
(0)
CCL18
(0)
CCL23
(0)
CCL8
(0)
ccna1
(0)
CCNA2
(0)
CCNB1
(0)
CCNB2
(0)
CCND1
(0)
CCND2
(0)
CCNE1
(0)
CCR5
(0)
CD109
(0)
CD14
(0)
CD151
(0)
CD163
(0)
CD163L1
(0)
CD19
(0)
CD1A
(0)
CD1B
(0)
CD1C
(0)
CD2
(0)
CD200R1
(0)
CD207
(0)
CD209
(0)
CD22
(0)
CD27
(0)
CD274
(0)
CD276
(0)
CD28
(0)
CD33
(6)
CD34
(0)
CD36
(0)
CD37
(0)
CD38
(0)
CD3D
(0)
CD3E
(0)
CD3G
(0)
CD4
(0)
CD40
(0)
CD40LG
(0)
CD44
(0)
CD46
(0)
CD47
(0)
CD48
(0)
CD5
(0)
CD52
(0)
CD53
(0)
CD55
(0)
CD59
(0)
CD5L
(0)
CD6
(0)
CD63
(0)
CD68
(0)
CD7
(0)
CD70
(0)
CD72
(0)
CD74
(0)
CD79A
(0)
CD79B
(0)
CD80
(0)
CD81
(0)
CD83
(0)
CD84
(0)
CD86
(1)
CD8A
(0)
CD8B
(0)
CD9
(0)
CD99
(0)
CDC20
(0)
CDC34
(0)
CDC5L
(0)
CDH1
(0)
CDH16
(0)
CDH17
(0)
CDH2
(0)
CDH3
(0)
CDH6
(0)
CDK1
(0)
CDK2
(0)
CDK4
(0)
CDKN1A
(0)
CDKN1B
(0)
CDKN1C
(0)
CDKN2A
(0)
CDX1
(0)
CDX2
(0)
CEACAM1
(0)
CEACAM5
(0)
CEACAM6
(0)
CEBPE
(0)
CEBPZ
(0)
CELA3A
(0)
CELA3B
(0)
CELF2
(0)
CETN1
(0)
CFL2
(0)
CFTR
(0)
CGA
(0)
CGB3
(0)
CGB5
(0)
CGB8
(0)
CHAT
(0)
CHD4
(0)
CHEK2
(0)
CHGA
(0)
CHGB
(0)
CHI3L2
(0)
CHID1
(0)
CHP2
(0)
CKB
(0)
CKM
(0)
CLDN18
(0)
CLEC4C
(0)
CLEC9A
(0)
CLPS
(0)
CLTA
(0)
CLTCL1
(0)
CLU
(0)
CNN1
(0)
CNOT10
(0)
COL2A1
(0)
COL4A1
(0)
COL4A3
(0)
COL4A5
(0)
COL7A1
(0)
CPA1
(0)
CPS1
(0)
CR1
(0)
CR2
(0)
CREB3L4
(0)
CREB5
(0)
CRYAB
(0)
CSF2
(0)
CSF3
(0)
CSTA
(0)
CSTB
(0)
CSTF2T
(0)
CTBP2
(0)
CTLA-4
(0)
CTNNB1
(0)
CTNND1
(0)
CTSD
(0)
CTSG
(0)
CTSK
(0)
CXCR5
(0)
CYCS
(0)
CYP19A1
(0)
CYP1A1
(0)
CYP2C9
(0)
CYP2E1
(0)
DAXX
(0)
DAZL
(0)
DBH
(0)
DBN1
(0)
DCN
(0)
DCP2
(0)
DDX41
(0)
DES
(0)
DLL3
(0)
DMC1
(0)
DMD
(0)
DMRT2
(0)
DNMT1
(0)
DNMT3A
(0)
DNTT
(0)
DPP4
(0)
DRAP1
(0)
DSC2
(0)
DSG1
(0)
DSG2
(0)
DSG3
(0)
E1^E4
(0)
E2F4
(0)
E2F6
(0)
E4F1
(0)
EBAG9
(0)
EBI3
(0)
ECD
(0)
ECM1
(0)
EGFL7
(0)
EGFR
(0)
EGLN1
(0)
EIF2S1
(0)
EIF4A2
(0)
EIF4E
(0)
ELK1
(0)
ELN
(0)
EMD
(0)
EME1
(0)
ENAH
(0)
ENG
(0)
ENO2
(0)
ENPP3
(0)
ENTPD1
(0)
EPCAM
(0)
EPHB4
(0)
EPO
(0)
EPX
(0)
ERBB2
(0)
ERBB4
(0)
ERCC1
(0)
ERG
(0)
ESR1
(0)
ESR2
(0)
ETS1
(0)
ETS2
(0)
EZH2
(0)
EZR
(0)
F13A1
(0)
F3
(0)
F7
(0)
FABP1
(0)
FABP2
(0)
FABP3
(0)
FABP4
(0)
FABP5
(0)
FAF1
(0)
FAP
(0)
FAS
(0)
FASLG
(0)
FAT1
(0)
FAT2
(0)
FBLIM1
(0)
FBN1
(0)
FBXO5
(0)
FCER2
(0)
FCGR1A
(0)
FCGR2A
(0)
FCGR3A
(0)
FCGRT
(0)
FERMT1
(0)
FERMT2
(0)
FEV
(0)
FGA
(0)
FGF2
(0)
FGF21
(0)
FGF23
(0)
FLG
(0)
FLI1
(0)
FLT1
(0)
FLT3
(0)
Fn1
(0)
FOLH1
(0)
FOLR1
(0)
FOSL2
(0)
FOXA1
(0)
FOXB1
(0)
FOXB2
(0)
FOXL1
(0)
FOXL2
(0)
FOXO1
(0)
FOXP1
(0)
FOXP3
(0)
FOXP4
(0)
FOXQ1
(0)
FSCN1
(0)
FSHB
(0)
FSHR
(0)
FST
(0)
FTCD
(0)
FTH1
(0)
FTL
(0)
FUT3
(0)
FUT4
(0)
FXN
(0)
GAD1
(0)
GAD2
(0)
gag-pol
(0)
GAST
(0)
GATA3
(0)
GATA4
(0)
GBP1
(0)
GBX2
(0)
GC
(0)
GCG
(0)
GCHFR
(0)
GCLM
(0)
GCM2
(0)
GCSAM
(0)
GDF9
(0)
GFAP
(0)
GH1
(0)
GJB1
(0)
GLG1
(0)
GLIS3
(0)
GLO1
(0)
GLUL
(0)
GMNN
(0)
GNAQ
(0)
GNRHR
(0)
GP2
(0)
GPC3
(0)
GPI
(0)
GPN1
(0)
GPRC5A
(0)
GPX4
(0)
GRAMD4
(0)
GSN
(0)
GSTM1
(0)
GSTM2
(0)
GSTM3
(0)
GSTP1
(0)
GTF2A1
(0)
GTF2B
(0)
GTF2H2
(0)
GTF2H2C
(0)
GTF2H2C_2
(0)
GTF2I
(0)
GTF2IRD2
(0)
GYPA
(0)
GZMB
(0)
H1-0
(0)
H2-Ea
(0)
H3C1
(0)
H3C10
(0)
H3C11
(0)
H3C12
(0)
H3C2
(0)
H3C3
(0)
H3C4
(0)
H3C6
(0)
H3C7
(0)
H3C8
(0)
HAVCR2
(0)
HBA1
(0)
HBA2
(0)
HBEGF
(0)
HBsAg
(0)
HDAC1
(0)
HDAC3
(0)
HDAC6
(0)
HDAC7
(0)
HDGF
(0)
HEG1
(0)
HES5
(0)
HEXB
(0)
HGF
(0)
HIC2
(0)
HIF1A
(0)
HK1
(0)
HLA-B
(0)
HLA-DPB1
(0)
HLA-DQA1
(0)
HLA-DRA
(0)
HLA-DRB1
(0)
HLA-E
(0)
HLA-G
(0)
HMG20B
(0)
HMMR
(0)
HNF1A
(0)
HNF1B
(0)
HOMEZ
(0)
HOXB2
(0)
HP
(0)
HSD17B13
(0)
HSP90AA1
(0)
HSP90AB1
(0)
HSP90B1
(0)
HSPA1A
(0)
HSPA1B
(0)
HSPB1
(0)
HSPD1
(0)
HSPG2
(0)
HSPH1
(0)
ICAM1
(0)
ICAM3
(0)
ICOSLG
(0)
ID1
(0)
ID4
(0)
IDH1
(6)
IDO2
(0)
IFNA1
(0)
IFNA13
(0)
IFNA2
(0)
IFNG
(0)
IGF1
(0)
IGF1R
(0)
IGF2BP2
(0)
IGFBP3
(0)
IGHA1
(0)
IGHD
(0)
IGHG1
(0)
IGHG4
(0)
IGHM
(0)
IGKV1D-16
(0)
IGLV1-51
(0)
IL-2
(0)
IL-6
(0)
IL10
(0)
Il10ra
(0)
IL15
(0)
IL18
(0)
IL18R1
(0)
IL18RAP
(0)
IL1A
(0)
IL1B
(0)
IL1RN
(0)
IL20RA
(0)
IL22RA2
(0)
IL25
(0)
IL2RA
(0)
IL3
(0)
IL31
(0)
IL3RA
(0)
IL4
(0)
IL5
(0)
IL6ST
(0)
IL7
(0)
IL7R
(0)
IMP3
(0)
INHA
(0)
INS
(0)
INSM1
(0)
INSM2
(0)
INSR
(0)
IRF3
(0)
IRF4
(0)
IRF9
(0)
IRS1
(0)
ITGA2B
(0)
ITGAE
(0)
ITGAL
(0)
ITGAM
(0)
ITGAV
(0)
ITGAX
(0)
ITGB1
(0)
ITGB2
(0)
ITGB3
(0)
ITGB4
(0)
ITLN1
(0)
IVL
(0)
JAZF1
(0)
JUN
(0)
JUNB
(0)
JUP
(0)
KCNIP2
(0)
KCNJ6
(0)
KDM1A
(0)
KDM5C
(0)
KDR
(0)
KIF2C
(0)
KIT
(0)
KLF12
(0)
KLF17
(0)
KLK3
(0)
KLK4
(0)
KLK5
(0)
KLK7
(0)
KLRB1
(0)
Klrb1c
(0)
KNG1
(0)
KRT1
(0)
KRT10
(0)
KRT13
(0)
KRT14
(0)
KRT15
(0)
KRT16
(0)
KRT17
(0)
KRT18
(0)
KRT19
(0)
KRT20
(0)
KRT3
(0)
KRT4
(0)
KRT5
(0)
KRT6A
(0)
KRT6B
(0)
KRT7
(0)
KRT76
(0)
KRT77
(0)
KRT8
(0)
L1CAM
(0)
L1TD1
(0)
LAG3
(0)
LAMC1
(0)
LAMP1
(0)
LAMP5
(0)
LDB2
(0)
LEF1
(0)
LEPR
(0)
LGALS1
(0)
LGALS13
(0)
LGALS3
(0)
LGALS9
(0)
LHB
(0)
LHCGR
(0)
LIG1
(0)
LILRB1
(0)
LIN28A
(0)
LMO2
(0)
LMP1
(0)
LRG1
(0)
LRP1
(0)
LSP1
(0)
LTF
(0)
LY75
(0)
LYZ
(0)
MAGEA1
(0)
MAGEA4
(0)
MALT1
(0)
MAML2
(0)
MAML3
(0)
MAP2
(0)
MAP3K1
(0)
MAPK1
(0)
MAPK14
(0)
MB
(0)
MBD1
(0)
MBD3
(0)
MBNL3
(0)
MBP
(0)
MCAM
(0)
MCM2
(0)
MCM3
(0)
MCM4
(0)
MCM5
(0)
MCM6
(0)
MCM7
(0)
MDH1
(0)
MDM2
(0)
MED21
(0)
MED22
(0)
MED7
(0)
MEF2B
(0)
MEF2D
(0)
MEIS2
(0)
MERTK
(0)
MFGE8
(0)
MGMT
(0)
MICA
(0)
MIF
(0)
MITF
(0)
MKI67
(0)
MLANA
(0)
MLH1
(0)
MLX
(0)
MME
(0)
MMP2
(0)
MMP3
(0)
MMP9
(0)
MPO
(0)
MPZ
(0)
MR1
(0)
MRC1
(0)
MS4A1
(0)
MSH2
(0)
MSH6
(0)
MSLN
(0)
MSN
(0)
MSTN
(0)
MTAP
(0)
MTF1
(0)
MUC1
(0)
MUC13
(0)
MUC16
(0)
MUC2
(0)
MUC3A
(0)
MUC4
(0)
MUC5AC
(0)
MUC6
(0)
MVP
(0)
MX1
(0)
MXI1
(0)
MYADM
(0)
MYC
(0)
MYCL
(0)
MYCN
(0)
MYH11
(0)
MYH7
(0)
MYOD1
(0)
MYOG
(0)
MZF1
(0)
N/A
(0)
NA
(0)
NACC1
(0)
NANOG
(0)
NAPSA
(0)
NCAM1
(0)
NCL
(0)
NCR3LG1
(0)
NECAB1
(0)
NECTIN4
(0)
NEFH
(0)
NEFL
(0)
NES
(0)
NEUROD2
(0)
NEUROG3
(0)
NGFR
(0)
Nid1
(0)
NKX2-1
(0)
NKX2-2
(0)
NKX2-8
(0)
NKX3-1
(0)
NKX6-1
(0)
NME1
(0)
NME2
(0)
NMI
(0)
NOC4L
(0)
NOX4
(0)
NPM1
(0)
NPPB
(0)
NR1H2
(0)
NR3C2
(0)
NR5A1
(0)
NR5A2
(0)
NRF1
(0)
NRG1
(0)
NRP1
(0)
NS3
(0)
NT5E
(0)
NTRK2
(0)
NTRK3
(0)
NUMA1
(0)
NUTM1
(0)
OCLN
(0)
ODC1
(0)
OGG1
(0)
OLIG2
(0)
ORC1
(0)
OTX2
(0)
OVOL2
(0)
PADI4
(0)
PAPPA
(0)
PARVB
(0)
PARVG
(0)
PAX2
(0)
PAX3
(0)
PAX4
(0)
PAX5
(0)
PAX6
(0)
PAX7
(0)
PAX8
(0)
PBX1
(0)
PBX2
(0)
PCGF3
(0)
PCNA
(0)
PDCD1
(0)
PDCD1LG2
(0)
PDGFB
(0)
PDGFRA
(0)
PDLIM1
(0)
PDPN
(0)
PDX1
(0)
PECAM-1
(0)
PGF
(0)
PGM5
(0)
PGR
(0)
PHB1
(0)
PHF10
(0)
PHOX2B
(0)
PHPT1
(0)
PIK3CD
(0)
PIK3R2
(0)
PIP
(0)
PKP1
(0)
PLA2R1
(0)
PLIN2
(0)
plk1
(0)
PLP1
(0)
PMEL
(0)
PMEPA1
(0)
PMS1
(0)
PMS2
(0)
PNLIP
(0)
PODXL
(0)
POGZ
(0)
POLE3
(0)
POLR2A
(0)
POMC
(0)
PON1
(0)
POSTN
(0)
POU1F1
(0)
POU2AF1
(0)
POU2F2
(0)
POU5F1
(0)
PPARD
(0)
PPP3CA
(0)
PPP3R1
(0)
PRAME
(0)
PRDM1
(0)
PRDX4
(0)
PRF1
(0)
PRKCA
(0)
PRKCI
(0)
PRL
(0)
PRLR
(0)
PRMT6
(0)
PRMT7
(0)
PROM1
(0)
PRPH
(0)
PSMD4
(0)
PTEN
(0)
PTGS2
(0)
PTH
(0)
PTPN6
(0)
PTPRC
(0)
PTPRU
(0)
PVALB
(0)
QKI
(0)
RAC1
(0)
RAD51
(0)
RB1
(0)
RBFOX3
(0)
RBM8A
(0)
RBMS2
(0)
RBP1
(0)
RBP4
(0)
RELA
(0)
RELN
(0)
RET
(0)
RETN
(0)
RHOBTB2
(0)
RHOXF2
(0)
RNLS
(0)
ROR2
(0)
RORC
(0)
ROS1
(0)
RPA2
(0)
Rps23
(0)
RPS6KA5
(0)
RPSA
(0)
RRM1
(0)
RXRB
(0)
RXRG
(0)
S100A1
(0)
S100A11
(0)
S100A12
(0)
S100A13
(0)
S100A14
(0)
S100A16
(0)
S100A2
(0)
S100A4
(0)
S100A5
(0)
S100A8
(0)
S100A9
(0)
S100B
(0)
S100G
(0)
S100P
(0)
SAA1
(0)
SALL4
(0)
SAMD4B
(0)
SAT1
(0)
SATB1
(0)
SATB2
(0)
SBSN
(0)
SCGB2A2
(0)
SCGN
(0)
SCX
(0)
SDC1
(0)
SDHA
(0)
SDHB
(0)
SELE
(0)
SELL
(0)
SELPLG
(0)
SEMA4D
(0)
SERBP1
(0)
SERPINA1
(0)
SERPINA3
(0)
SERPINB3
(0)
SERPINB5
(0)
SERPINE1
(0)
SET
(0)
SFMBT2
(0)
SFN
(0)
SFTPD
(0)
SHBG
(0)
SIGLEC1
(0)
SIGLEC10
(0)
SIRT1
(0)
SIRT2
(0)
SIRT3
(0)
SLAMF7
(0)
SLC18A2
(0)
SLC2A1
(0)
SLC3A2
(0)
SLC45A3
(0)
SLC4A1
(0)
SLC7A11
(0)
SMAD3
(0)
SMAD4
(0)
SMAD9
(0)
SMARCA4
(0)
SMARCAL1
(0)
SMARCB1
(0)
SMARCC1
(0)
SMN1
(0)
SMNDC1
(0)
SMTN
(0)
SNAPC4
(0)
SNW1
(0)
SOD1
(0)
SOX10
(0)
SOX11
(0)
SOX12
(0)
SOX18
(0)
SOX2
(0)
SOX4
(0)
SOX9
(0)
SP100
(0)
SPARC
(0)
SPAST
(0)
SPI1
(0)
SPIC
(0)
SPN
(0)
SPP1
(0)
SPTA1
(0)
SPTAN1
(0)
SPTBN2
(0)
SREBF1
(0)
SREBF2
(0)
SRF
(0)
SS18
(0)
SST
(0)
SSTR2
(0)
ST6GAL1
(0)
STAR
(0)
STAT2
(0)
STAT3
(0)
STAT5A
(0)
STAT5B
(0)
STAT6
(0)
STING1
(0)
STMN1
(0)
SULT1E1
(0)
SUMO1
(0)
SUMO2
(0)
SUMO3
(0)
SV2A
(0)
SYP
(0)
TACSTD2
(0)
TADA1
(0)
TAGLN
(0)
TAL1
(0)
TARBP2
(0)
TARDBP
(0)
TBX21
(0)
TBXT
(0)
tcdA
(0)
TCF25
(0)
TCF4
(0)
TCF7
(0)
TCL1A
(0)
TDP2
(0)
TDRKH
(0)
TEK
(0)
TF
(0)
TFAM
(0)
TFAP2A
(0)
TFE3
(0)
TFF1
(0)
TFF2
(0)
TFPI2
(0)
TFRC
(0)
TG
(0)
TGFA
(0)
TGFB1
(0)
TGFB3
(0)
TGFBR1
(0)
TGM2
(0)
THBD
(0)
THBS1
(0)
Thy-1
(0)
TIA1
(0)
TIGIT
(0)
TIMP1
(0)
TIMP2
(0)
TIMP3
(0)
TLE1
(0)
TLR2
(0)
TLR4
(0)
TMPRSS2
(0)
TNC
(0)
TNF
(0)
TNFAIP3
(0)
TNFRSF10B
(0)
TNFRSF13C
(0)
TNFRSF17
(0)
Tnfrsf18
(0)
TNFRSF4
(0)
TNFRSF8
(0)
TNFRSF9
(0)
TNFSF13B
(0)
TNFSF15
(0)
TNFSF9
(0)
TOM1L1
(0)
TOP1MT
(0)
TOP2A
(0)
TOX3
(0)
TP53
(0)
TP63
(0)
TP73
(0)
TPH1
(0)
TPM1
(0)
TPO
(0)
TPSAB1
(0)
TRAF1
(0)
TREM2
(0)
TRIM24
(0)
TRIM27
(0)
TRIM29
(0)
TRPC6
(0)
TRPS1
(0)
TSC22D1
(0)
TSHB
(0)
TSHR
(0)
TTR
(0)
TUBA1B
(0)
TUBB
(0)
TUBB3
(0)
TYMP
(0)
TYMS
(0)
TYR
(0)
TYRP1
(0)
UACA
(0)
UBB
(0)
UBE2B
(0)
UBE2C
(0)
UBE3A
(0)
UBR2
(0)
UCHL1
(0)
UL83
(0)
UPF1
(0)
UPK1A
(0)
UPK1B
(0)
UPK2
(0)
UPK3A
(0)
UPK3B
(0)
USF2
(0)
V-MYB
(0)
VCAM1
(0)
VCL
(0)
VEGFA
(0)
VIL1
(0)
VIM
(0)
VLDLR
(0)
VSIR
(0)
VTCN1
(0)
VWF
(0)
WIPI2
(0)
WT1
(0)
WTAP
(0)
XRCC3
(0)
XRCC5
(0)
XRCC6
(0)
YBX1
(0)
YBX3
(0)
YWHAE
(0)
YY1
(0)
ZAP70
(0)
ZBED1
(0)
ZBTB39
(0)
ZBTB46
(0)
ZBTB7B
(0)
ZBTB7C
(0)
ZC3H7A
(0)
ZFP64
(0)
ZFP90
(0)
ZFYVE28
(0)
ZHX3
(0)
ZMYM3
(0)
ZNF157
(0)
ZNF202
(0)
ZNF232
(0)
ZNF239
(0)
ZNF276
(0)
ZNF343
(0)
ZNF358
(0)
ZNF408
(0)
ZNF444
(0)
ZNF488
(0)
ZNF562
(0)
ZNF622
(0)
ZNF639
(0)
ZNF704
(0)
ZNF774
(0)
ZNF804A
(0)
ZNF81
(0)
ZNF846
(0)
ZSCAN12
(0)
ZSCAN2
(0)
ZSCAN29
(0)
ZSCAN5A
(0)
ZXDC
(0)
Isotype
IgA
(0)
IgG
(11)
IgG1
(6)
IgG2
(0)
IgG2a
(2)
IgG2b
(3)
IgG2c
(1)
IgG3
(0)
IgM
(0)
Light Chain
Kappa
(21)
Lambda
(1)
Species Reactivity
African Green Monkey
(0)
All species
(0)
All species for which Mouse Monoclonal Antibody is used
(0)
Amphibian
(0)
Apteronotus Leptorhynchus
(0)
Avian
(0)
Baboon
(0)
Benzylpenicillin
(0)
Bird
(0)
Borrelia Burgdorferi
(0)
Bovine
(0)
Campylobacter Jejuni
(0)
Canine
(0)
Cat
(0)
Chicken
(0)
Chimpanzee
(0)
Clostridium Difficile
(0)
CMV
(0)
Common Marmoset
(0)
Cow
(0)
Cynomolgus Monkey
(0)
Dog
(0)
Drosophila
(0)
Drosophila melanogaster
(0)
E. coli O157
(0)
EBV
(0)
Elk
(0)
Equine
(0)
Ferret
(0)
Fish
(0)
Frog
(0)
Gerbil
(0)
Giardia Lamblia
(0)
Goat
(0)
Gorilla
(0)
Green Monkey
(0)
Guinea Pig
(4)
Hamster
(3)
Hedgehog
(0)
Helicobacter Pylori
(0)
HIV Type 1
(0)
Horse
(0)
HPV-16
(0)
HPV-18
(0)
HSV1
(0)
HSV1 (Herpes Simplex Virus 1)
(0)
HSV2 (Herpes Simplex Virus 2)
(0)
Human
(23)
Macaca artctoids (Stumptail monkey)
(0)
Macaque Monkey
(0)
Marmoset
(0)
Marmoset Monkey
(0)
MBP fusion proteins
(0)
Methicillin-resistant Staphylococcus aureus (MRSA)
(0)
Mink
(0)
Mink (Mustela)
(0)
Monkey
(0)
Mouse
(4)
Non-Human primates
(0)
Orangutan
(0)
Owl monkey
(0)
Pig
(0)
Pigeon
(0)
Pitman Moore
(0)
Pombe
(0)
Porcine
(0)
Primate
(0)
Pseudomonas Aeruginosa Serotype 5C
(0)
Pseudomonas Aeruginosa Serotype 6C
(0)
Quail
(0)
Rabbit
(0)
Rabies Virus of Strains SAD-Vnukovo
(0)
Rat
(3)
Rhesus Monkey
(0)
Rodent
(0)
Saccharomyces Cerevisiae
(0)
Schizosaccharomyces Pombe
(0)
Sheep
(0)
Species Independent
(0)
Squirrel
(0)
Tenerife Lizard
(0)
Turkey
(0)
Turtle
(0)
Woodchuck
(0)
Xenopus
(0)
Xenopus Laevis
(0)
Yeast
(0)
Yeast (S. pombe and S. cerevisiae)
(0)
Zebrafish
(0)
Peroxisome
Showing all 23 results
Default sorting
Sort by popularity
Sort by average rating
Sort by latest
Sort by price: low to high
Sort by price: high to low
4
In Stock
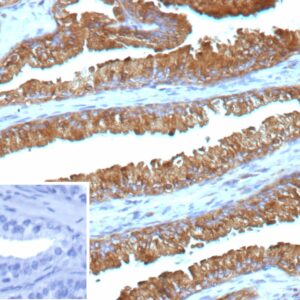
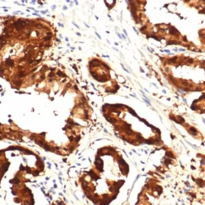
AMACR / p504S (Prostate Cancer Marker) Antibody
$
259.00
–
$
559.00
Price range: $259.00 through $559.00
Catalog Number:
23600-RBP2
Gene:
AMACR
Application:
Immunohistochemistry, Western Blot
Reactivity:
Human
Host:
Rabbit
Isotype:
IgG
6
In Stock
Best Seller
AMACR / p504S (Prostate Cancer Marker) Antibody [AMACR/1723]
$
259.00
–
$
559.00
Price range: $259.00 through $559.00
Catalog Number:
23600-MSM3
Gene:
AMACR
Application:
Immunohistochemistry, Western Blot
Reactivity:
Guinea Pig, Hamster, Human, Mouse, Rat
Host:
Mouse
Isotype:
IgG2b
7
In Stock
AMACR / p504S (Prostate Cancer Marker) Antibody [AMACR/1864]
$
259.00
–
$
559.00
Price range: $259.00 through $559.00
Catalog Number:
23600-MSM4
Gene:
AMACR
Application:
Immunohistochemistry, Western Blot
Reactivity:
Human
Host:
Mouse
Isotype:
IgG1
1
In Stock
CD33 / SIGLEC3 (Myeloid Cell Surface Antigen) Antibody [WM53]
$
559.00
Catalog Number:
945-MSM1-PE-100T
Gene:
CD33
Application:
Flow Cytometry, Functional Studies, Immunofluorescence
Reactivity:
Human
Host:
Mouse
Isotype:
IgG1
1
In Stock
CD33 / SIGLEC3 (Myeloid Cell Surface Antigen) Antibody [WM53]
$
559.00
Catalog Number:
945-MSM1-CF488-100T
Gene:
CD33
Application:
Flow Cytometry, Functional Studies, Immunofluorescence
Reactivity:
Human
Host:
Mouse
Isotype:
IgG1
5
In Stock
CD33 / SIGLEC3 (Myeloid Cell Surface Antigen) Antibody [SIGLEC3/3600]
$
259.00
–
$
559.00
Price range: $259.00 through $559.00
Catalog Number:
945-MSM10
Gene:
CD33
Application:
Immunohistochemistry
Reactivity:
Human
Host:
Mouse
Isotype:
IgG2c
1
In Stock
CD33 / SIGLEC3 (Myeloid Cell Surface Antigen) Antibody [WM53]
$
259.00
–
$
559.00
Price range: $259.00 through $559.00
Catalog Number:
945-MSM1
Gene:
CD33
Application:
Flow Cytometry, Functional Studies, Immunofluorescence
Reactivity:
Human
Host:
Mouse
Isotype:
IgG1
6
In Stock
CD86 (Dendritic Cells Maturation Marker) Antibody [C86/3711]
$
259.00
–
$
559.00
Price range: $259.00 through $559.00
Catalog Number:
942-MSM11
Gene:
CD86
Application:
Immunohistochemistry, Western Blot
Reactivity:
Human
Host:
Mouse
Isotype:
IgG2b
6
In Stock
IDH1 (Isocitrate Dehydrogenase) Antibody [IDH1/1152]
$
259.00
–
$
559.00
Price range: $259.00 through $559.00
Catalog Number:
3417-MSM2
Gene:
IDH1
Application:
Immunofluorescence, Immunohistochemistry, Western Blot
Reactivity:
Human
Host:
Mouse
Isotype:
IgG1
5
Recombinant
In Stock
Recombinant AMACR / p504S (Prostate Cancer Marker) Antibody [AMACR/4572R]
$
259.00
–
$
559.00
Price range: $259.00 through $559.00
Catalog Number:
23600-RBM12
Gene:
AMACR
Application:
Immunofluorescence, Immunohistochemistry, Western Blot
Reactivity:
Guinea Pig, Hamster, Human, Mouse, Rat
Host:
Rabbit
Isotype:
IgG
5
Recombinant
In Stock
Recombinant AMACR / p504S (Prostate Cancer Marker) Antibody [rAMACR/1864]
$
259.00
–
$
559.00
Price range: $259.00 through $559.00
Catalog Number:
23600-MSM10
Gene:
AMACR
Application:
Immunohistochemistry, Western Blot
Reactivity:
Human
Host:
Mouse
Isotype:
IgG1
4
Recombinant
In Stock
Recombinant AMACR / p504S (Prostate Cancer Marker) Antibody [rAMACR/4674]
$
259.00
–
$
559.00
Price range: $259.00 through $559.00
Catalog Number:
23600-MSM14
Gene:
AMACR
Application:
Immunohistochemistry, Western Blot
Reactivity:
Guinea Pig, Hamster, Human, Mouse, Rat
Host:
Mouse
Isotype:
IgG2a
4
Recombinant
In Stock
Recombinant AMACR / p504S (Prostate Cancer Marker) Antibody [AMACR/3931R]
$
259.00
–
$
559.00
Price range: $259.00 through $559.00
Catalog Number:
23600-RBM11
Gene:
AMACR
Application:
Immunohistochemistry, Western Blot
Reactivity:
Human
Host:
Rabbit
Isotype:
IgG
5
Recombinant
In Stock
Recombinant AMACR / p504S (Prostate Cancer Marker) Antibody [AMACR/2748R]
$
259.00
–
$
559.00
Price range: $259.00 through $559.00
Catalog Number:
23600-RBM8
Gene:
AMACR
Application:
Immunohistochemistry, Western Blot
Reactivity:
Human
Host:
Rabbit
Isotype:
IgG
5
Recombinant
In Stock
Recombinant AMACR / p504S (Prostate Cancer Marker) Antibody [rAMACR/6369]
$
259.00
–
$
559.00
Price range: $259.00 through $559.00
Catalog Number:
23600-MSM19
Gene:
AMACR
Application:
Immunohistochemistry, Western Blot
Reactivity:
Human
Host:
Mouse
Isotype:
IgG2a
1
Recombinant
In Stock
Recombinant CD33 / SIGLEC3 (Myeloid Cell Surface Antigen) Antibody [SIGLEC3/7046R]
$
259.00
–
$
559.00
Price range: $259.00 through $559.00
Catalog Number:
945-RBM12
Gene:
CD33
Application:
Immunohistochemistry
Reactivity:
Human
Host:
Rabbit
Isotype:
IgG
1
Recombinant
In Stock
Recombinant CD33 / SIGLEC3 (Myeloid Cell Surface Antigen) Antibody [rSIGLEC3/13503]
$
259.00
–
$
559.00
Price range: $259.00 through $559.00
Catalog Number:
945-MSM83
Gene:
CD33
Application:
Immunohistochemistry
Reactivity:
Human
Host:
Mouse
Isotype:
IgG2b
2
Recombinant
In Stock
Recombinant IDH1-R132H (Isocitrate Dehydrogenase) Antibody [IDH1.R132H/8205R]
$
259.00
–
$
559.00
Price range: $259.00 through $559.00
Catalog Number:
3417-RBM9
Gene:
IDH1
Application:
Immunohistochemistry
Reactivity:
Human
Host:
Rabbit
Isotype:
IgG
1
Recombinant
In Stock
Recombinant IDH1-R132H (Isocitrate Dehydrogenase) Antibody [IDH1/7277R]
$
259.00
–
$
559.00
Price range: $259.00 through $559.00
Catalog Number:
3417-RBM7
Gene:
IDH1
Application:
Immunohistochemistry
Reactivity:
Human
Host:
Rabbit
Isotype:
IgG
6
Recombinant
In Stock
Recombinant IDH1-R132H (Isocitrate Dehydrogenase) Antibody [IDH1/6806R]
$
259.00
–
$
559.00
Price range: $259.00 through $559.00
Catalog Number:
3417-RBM6
Gene:
IDH1
Application:
Immunohistochemistry, Western Blot
Reactivity:
Human
Host:
Rabbit
Isotype:
IgG
3
Recombinant
In Stock
Recombinant IDH1-R132H (Isocitrate Dehydrogenase) Antibody [IDH1.R132H/7328R]
$
259.00
–
$
559.00
Price range: $259.00 through $559.00
Catalog Number:
3417-RBM8
Gene:
IDH1
Application:
Immunohistochemistry
Reactivity:
Human
Host:
Rabbit
Isotype:
IgG
7
In Stock
Best Seller
AMACR / p504S (Prostate Cancer Marker) Antibody [13H4]
$
259.00
–
$
559.00
Price range: $259.00 through $559.00
Catalog Number:
23600-RBM1
Gene:
AMACR
Application:
Immunohistochemistry, Western Blot
Reactivity:
Guinea Pig, Human, Mouse
Host:
Rabbit
Isotype:
IgG
5
Recombinant
In Stock
Recombinant IDH1-R132G (Isocitrate Dehydrogenase) Antibody [IDH1.R132G/13054R]
$
259.00
–
$
559.00
Price range: $259.00 through $559.00
Catalog Number:
3417-RBM13
Gene:
IDH1
Application:
Immunohistochemistry, Western Blot
Reactivity:
Human
Host:
Rabbit
Isotype:
IgG
PARTNERSHIP OPPORTUNITIES
NeoBiotechnologies holds
Exclusive rights
to 10,000 recombinant and hybridoma antibody products, available for
Licensing or Collaboration.
LETS TALK
Let’s Talk
Search Primary Antibodies
Call Us Now:
1-866-2-NEOBIO
(1-866-263-6246)
Company Info
News
Refund and Returns Policy
Terms of Service
Legacy Website
Track Your Order
Quality policies
Help & Support
×
Get live help from one of our scientists
Monday-Friday 8:00am – 8:00pm PST
Call
1-866-263-6246
Message
Contact Form
WhatsApp
+1 (510) 726-2643
×
Contact Us
Name
(Required)
Email
(Required)
Phone
Subject
Reason for Contact
General Inquiry
Order Information
Add to Vendor Platform
Bulk Orders and Custom Formulations
Licensing
Message
×
Get a Quote
Name
(Required)
Email
(Required)
Phone
(Required)
Company Name
Subject
Message
Recombinant IDH1-R132G (Isocitrate Dehydrogenase) Antibody