
SDS-PAGE Analysis Purified CD33 Mouse Monoclonal Antibody (SIGLEC3/3600). Confirmation of Integrity and Purity of Antibody.

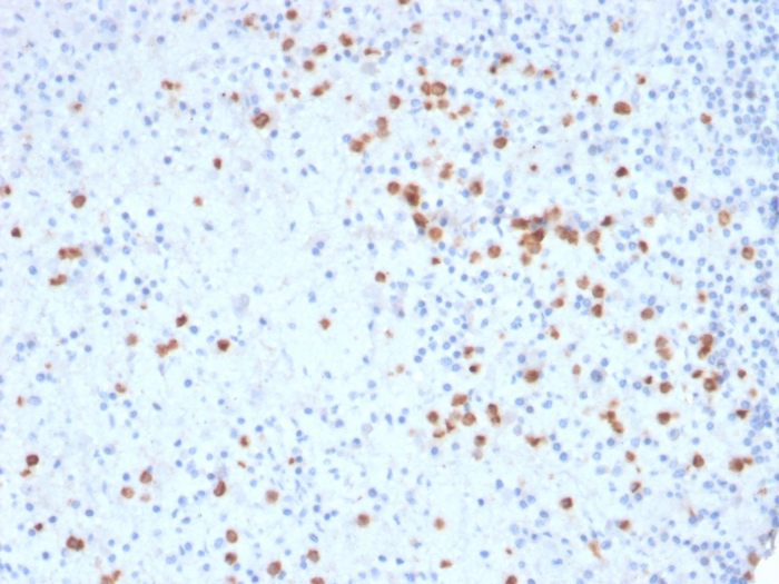
Formalin-fixed, paraffin-embedded human spleen stained with CD33 Mouse Monoclonal Antibody (SIGLEC3/3600). HIER: Tris/EDTA, pH9.0, 45min. 2°: HRP-polymer, 30min. DAB, 5min.

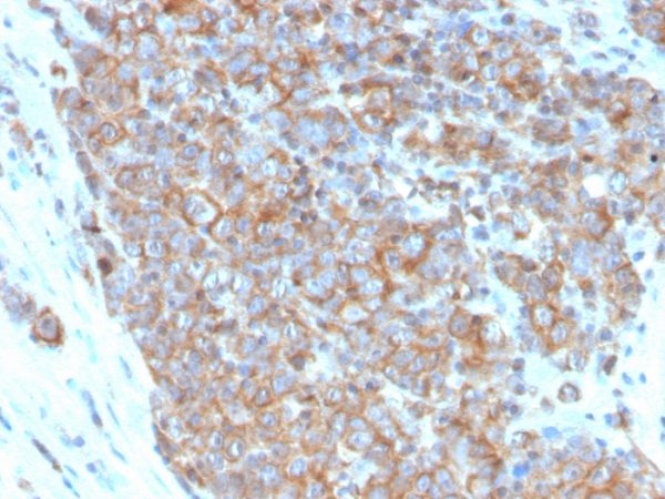
Formalin-fixed, paraffin-embedded human urothelial carcinoma stained with CD33 Mouse Monoclonal Antibody (SIGLEC3/3600). HIER: Tris/EDTA, pH9.0, 45min. 2°: HRP-polymer, 30min. DAB, 5min.

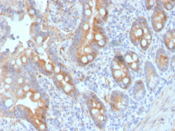
Formalin-fixed, paraffin-embedded human colon carcinoma stained with CD33 Mouse Monoclonal Antibody (SIGLEC3/3600). HIER: Tris/EDTA, pH9.0, 45min. 2°: HRP-polymer, 30min. DAB, 5min.

Analysis of Protein Array containing more than 19,000 full-length human proteins using CD33 Mouse Monoclonal Antibody (SIGLEC3/3600). Z- and S- Score: The Z-score represents the strength of a signal that a monoclonal antibody (MAb) (in combination with a fluorescently-tagged anti-IgG secondary antibody) produces when binding to a particular protein on the HuProtTM array. Z-scores are described in units of standard deviations (SD's) above the mean value of all signals generated on that array. If targets on HuProtTM are arranged in descending order of the Z-score, the S-score is the difference (also in units of SD's) between the Z-score. S-score therefore represents the relative target specificity of a MAb to its intended target. A MAb is considered to specific to its intended target, if the MAb has an S-score of at least 2.5. For example, if a MAb binds to protein X with a Z-score of 43 and to protein Y with a Z-score of 14, then the S-score for the binding of that MAb to protein X is equal to 29.
Recognizes a 67kDa glycoprotein, which is identified as CD33. It is a transmembrane protein of the sialic acid-binding immunoglobulin-like lectin (Siglec) family. It belongs to the immunoreceptor tyrosine-based inhibitory motif (ITIM)-containing molecules able of recruiting protein tyrosine phosphatases SHP-1 and SHP-2 to signal assemblies; these ITIMs are also used for ubiquitin-mediated removal of the receptor from the cell surface. CD33 is expressed on cells of myelomonocytic lineage, binds sialic acid residues in N- and O-glycans on cell surfaces, and is a therapeutic target for acute myeloid leukemia. CD33 is expressed on myeloid progenitors, monocytes, granulocytes, dendritic cells and mast cells. It is absent on platelets, lymphocytes, erythrocytes and hematopoietic stem cells.
There are no reviews yet.