
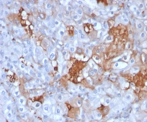
Formalin-fixed, paraffin-embedded human renal cell carcinoma stained with Cadherin 6 Mouse Monoclonal Antibody (CDH6/3191). HIER: Tris/EDTA, pH9.0, 45min. 2°C: HRP-polymer, 30min. DAB, 5min.

SDS-PAGE Analysis of Purified Cadherin 6 Mouse Monoclonal Antibody (CDH6/3191). Confirmation of Purity and Integrity of Antibody.

Analysis of Protein Array containing more than 19,000 full-length human proteins using Cadherin 6 (CDH6) Mouse Monoclonal Antibody (CDH6/3191). Z- and S- Score: The Z-score represents the strength of a signal that a monoclonal antibody (MAb) (in combination with a fluorescently-tagged anti-IgG secondary antibody) produces when binding to a particular protein on the HuProtTM array. Z-scores are described in units of standard deviations (SD's) above the mean value of all signals generated on that array. If targets on HuProtTM are arranged in descending order of the Z-score, the S-score is the difference (also in units of SD's) between the Z-score. S-score therefore represents the relative target specificity of a MAb to its intended target. A MAb is considered to specific to its intended target, if the MAb has an S-score of at least 2.5. For example, if a MAb binds to protein X with a Z-score of 43 and to protein Y with a Z-score of 14, then the S-score for the binding of that MAb to protein X is equal to 29.
This gene encodes a type II classical cadherin from the cadherin superfamily. The encoded membrane protein is a calcium dependent cell-cell adhesion glycoprotein composed of five extracellular cadherin repeats, a transmembrane region and a highly conserved cytoplasmic tail. Cadherins mediate cell-cell binding in a homophilic manner, contributing to the sorting of heterogeneous cell types and the maintenance of orderly structures such as epithelium. Strong transcriptional expression of this gene has been observed in hepatocellular and renal carcinoma cell lines, suggesting a possible role in metastasis and invasion. This protein may play a role in kidney development as well as endometrium and placenta formation. Decreased expression of this gene may be associated with tumor growth and metastasis.
There are no reviews yet.