
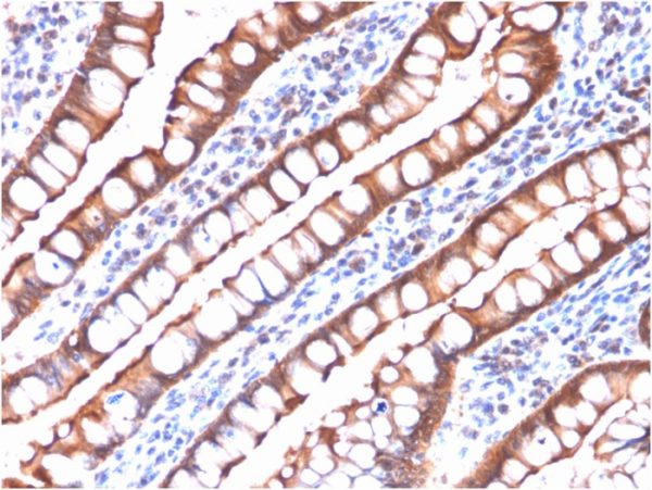
Formalin-fixed, paraffin-embedded human Small Intestinal Carcinoma stained with Villin-Monospecific Recombinant Mouse Monoclonal Antibody (rVIL1/1325).

Formalin-fixed, paraffin-embedded human Small Intestinal Carcinoma stained with Villin-Monospecific Recombinant Mouse Monoclonal Antibody (rVIL1/1325).

Analysis of Protein Array containing more than 19,000 full-length human proteins using Villin-Monospecific Recombinant Mouse Monoclonal Antibody (rVIL1/1325) Z- and S- Score: The Z-score represents the strength of a signal that a monoclonal antibody (MAb) (in combination with a fluorescently-tagged anti-IgG secondary antibody) produces when binding to a particular protein on the HuProtTM array. Z-scores are described in units of standard deviations (SD's) above the mean value of all signals generated on that array. If targets on HuProtTM are arranged in descending order of the Z-score, the S-score is the difference (also in units of SD's) between the Z-score. S-score therefore represents the relative target specificity of a MAb to its intended target. A MAb is considered to specific to its intended target, if the MAb has an S-score of at least 2.5. For example, if a MAb binds to protein X with a Z-score of 43 and to protein Y with a Z-score of 14, then the S-score for the binding of that MAb to protein X is equal to 29.
Recognizes a protein of 95kDa, which is identified as villin. It is a major constituent in the microvilli, which compose the brush border of epithelial cells forming absorptive surfaces of the intestinal and renal proximal tubular epithelia. Anti-Villin labels the brush border area in the gastrointestinal mucosal epithelium and urogenital tract. Among neoplasms, villin is predominantly expressed in tumors of colorectal origin. Antibody to villin is useful in identifying malignant cells from primary and metastatic colorectal carcinomas. This antibody also labels Merkel cells of the skin.
There are no reviews yet.