Recombinant Tyrosinase (Melanoma Marker) Antibody [TYR/2024R]

In Stock
Catalog Number Formulation Size Price
7299-RBM4-P0
Purified Ab with BSA and Azide at 200ug/ml
20ug
$259.00
7299-RBM4-P1
Purified Ab with BSA and Azide at 200ug/ml
100ug
$559.00
7299-RBM4-P1ABX
Purified Ab WITHOUT BSA and Azide at 1.0mg/ml
100ug
$559.00
Flat Rate Domestic: $95 | Orders outside the US - Contact Us for Order Information | Ships next business day

Applications & Dilutions

Applications Tested Dillution Protocol Note
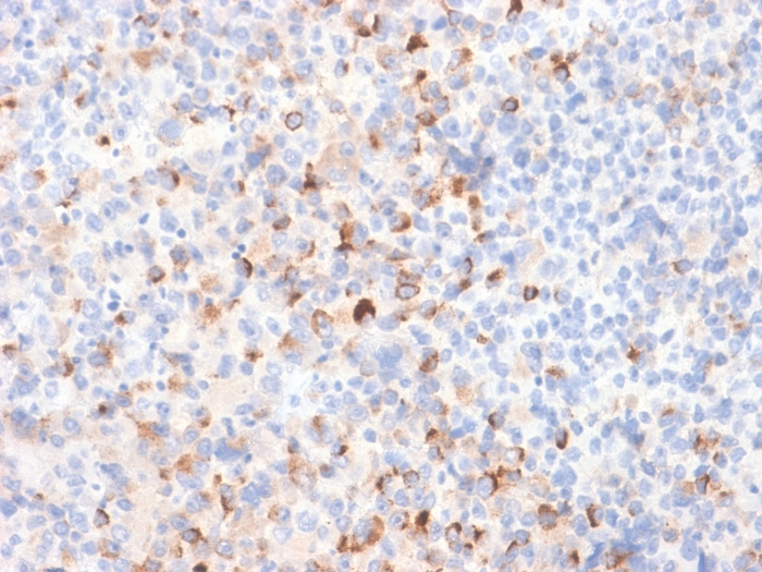
Immunohistochemistry (IHC)
1-2ug/ml
30 min at RT. Staining of formalin-fixed tissues requires heating tissue sections in 10mM Tris with 1mM EDTA, pH 9.0, for 45 min at 95°C followed by cooling at RT for 20 minutes
Western Blot (WB)
2-4ug/ml

Summary

Recognizes a cluster of proteins between 70-80kDa, identified as tyrosinase. Occasionally a minor band at 55kDa is also detected. This MAb shows no cross-reaction with MAGE-1 and tyrosinase-related protein 1, TRP-1/gp75. Tyrosinase is a copper-containing metalloglycoprotein that catalyzes several steps in the melanin pigment biosynthetic pathway; the hydroxylation of tyrosine to L-3,4-dihydroxy-phenylalanine (dopa), and the subsequent oxidation of dopa to dopaquinone. Mutations of the tyrosinase gene occur in various forms of albinism. Tyrosinase is one of the targets for cytotoxic T-cell recognition in melanoma patients. Staining of melanomas with this MAb shows tyrosinase in melanotic as well as amelanotic variants. This MAb is a useful marker for melanocytes and melanomas.

Product Properties & Targets

Host
Rabbit
Species Reactivity
Research Areas
Isotype / Light Chain
IgG / Kappa
Cellular Localization
Melanosome, Melanosome membrane
Gene Name
TYR
Positive Control
SK-MEL-13, SK-MEL-19, SK-MEL-30, SK-MEL-37 cells. Melanoma, A431
Immunogen
Recombinant human full-length tyrosinase (TYR) protein
Alternate Names
Tyrosinase, LB24-AB, Monophenol monooxygenase, SK29-AB, Tumor rejection antigen AB, ATN, CMM8, LB24-AB, Monophenol monooxygenase, OCA1, OCA1A, Oculocutaneous albinism IA, SHEP3, SK29-AB, Tumor rejection antigen AB, TYR

Database Links

Entrez Gene ID
SwissProt

Additional Information

Clone
TYR/2024R
Chromosome Location
11q14.3
Mol. Weight of Antigen
70-80kDa

Functions

  • This is a copper-containing oxidase that functions in the formation of pigments such as melanins and other polyphenolic compounds (By similarity). Catalyzes the initial and rate limiting step in the cascade of reactions leading to melanin production from tyrosine (By similarity). In addition to hydroxylating tyrosine to DOPA (3,4-dihydroxyphenylalanine), also catalyzes the oxidation of DOPA to DOPA-quinone, and possibly the oxidation of DHI (5,6-dihydroxyindole) to indole-5,6 quinone (By similarity).

Key References

  • Chen Y-T, et. al. Proc. Natl. Acad. Sci. USA, 1995, 92:8125-8129.

PubMed Links

Storage & Stability

Antibody with azide - store at 2 to 8°C. Antibody without azide - store at -20 to -80°C. Antibody is stable for 24 months. Non-hazardous. No MSDS required.

Limitations

This antibody is available for research use only and is not approved for use in diagnosis.

Supplied as

200ug/ml of Ab Purified from Bioreactor Concentrate by Protein A/G. Prepared in 10mM PBS with 0.05% BSA & 0.05% azide. Also available WITHOUT BSA & azide at 1.0mg/ml.

Warranty

There are no warranties, expressed or implied, which extend beyond this description. Company is not liable for any personal injury or economic loss resulting from this product.

Reviews

There are no reviews yet.

Be the first to review “Recombinant Tyrosinase (Melanoma Marker) Antibody”

Your email address will not be published. Required fields are marked *

PARTNERSHIP OPPORTUNITIES

NeoBiotechnologies holds Exclusive rights to 10,000 recombinant and hybridoma antibody products, available for Licensing or Collaboration.

LETS TALK