
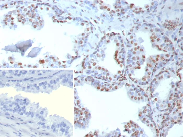
Formalin-fixed, paraffin-embedded human prostate stained with TDP43 Recombinant Rabbit Monoclonal Antibody (TARDP/9299R). Inset: PBS instead of primary antibody; secondary only negative control.
TARDBP (TAR DNA binding protein), also known as TDP-43, is a nuclear protein that contains two RRM (RNA recognition motif) domains. Ubiquitously expressed with highest levels found in placenta, lung, pancreas, spleen and genital tract, TARDBP functions as a DNA-binding protein and specifically binds to the TAR DNA sequence motifs of HIV. Via this association with TAR motifs, TARDBP acts as a transcriptional repressor and inhibits HIV-1 transcription. TARDBP can also function as a negative regulator of splicing activity and is known to be involved in the splicing of CFTR (cystic fibrosis transmembrane receptor). In addition, TARDBP is a major component of ubiquitin-positive inclusion bodies that are prominent in many neurodegenerative diseases. This suggests that TARDBP may play a role in the development of neurodegenerative disorders. Due to alternative splicing events, various isoforms exist for TARDBP.
There are no reviews yet.