
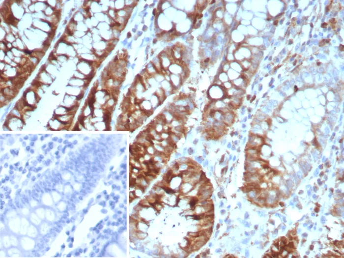
Formalin-fixed, paraffin-embedded human colon carcinoma stained with Stathmin 1 Mouse Monoclonal Antibody (STMN1/8439). Inset: PBS instead of primary antibody; secondary only negative control.
Op18 (for oncoprotein 18, also designated stathmin, prosolin or metablastin) is a conserved, Tubulin-associated, intracellular phosphoprotein. Many different phosphorylated forms of Op18 are observed, and it is expressed as two different isoforms. Op18 is considered a critical regulator of microtubulin dynamics and is downregulated by p53. It serves as a transducing protein, via phophorylation, for a variety of cell signaling pathways and is involved in both mitosis and differentiation.Op18 is present in many cancers, including breast carcinomas, and is highly expressed in acute leukemias of different subtypes.
There are no reviews yet.