
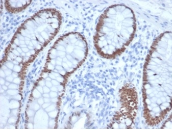
IHC analysis of formalin-fixed, paraffin-embedded human colon. Strong nuclear staining using rSATB2/6929 at 2ug/ml in PBS for 30min RT. HIER: Tris/EDTA, pH9.0, 45min. 2°C: HRP-polymer, 30min. DAB, 5min.
SATB2 is a DNA binding protein that specifically binds nuclear matrix attachment regions. It is involved in transcription regulation and chromatin remodeling. SATB2 expression in colorectal carcinomas (CRC) is correlated with good prognosis and in laryngeal squamous cell carcinoma it functions as a tumor suppressor wherein loss of expression is positively correlated with high tumor grade and recurrence. Moreover, SATB2, in combination with CK20, could identify almost all CRC s. Upper gastrointestinal (GI) carcinomas and pancreatic ductal carcinomas are usually negative for SATB2, and ovarian carcinomas, lung adenocarcinomas, and adenocarcinomas from other origin are rarely positive for SATB2. Additionally, SATB2 antibody can identify neuroendocrine neoplasms of colon and rectum because SATB2 is usually negative in neuroendocrine neoplasms of the GI tract, pancreas, and lung. More recently, it has been reported that SATB2 is a sensitive marker for tumors with osteoblastic differentiation.
There are no reviews yet.